The high prevalence of tooth-related diseases, a growing geriatric population and a rapidly growing awareness to replace lost teeth by dental implants force dentists, oral and maxillofacial surgeons to cope with promises made by implant manufacturers such as “new teeth in one hour”. While implant manufacturers try to maximise their sales numbers by such marketing strategies, it will always be the practitioner’s full responsibility to treat patients with strictly evidence-based treatment protocols, especially when it comes to the immediate functional loading of dental implants.
Esposito et al. (2007), Javed et al. (2010), Walker et al. (2011) and Cannizzaro et al. (2012) proved in reviews, Cochrane studies and split-mouth randomised clinical trials that primary implant stability—represented by insertion torque values (ITV)—shows a significant correlation between the biomechanical quality of bone and the risk of immediate and long-term implant failure when implants are loaded functionally at time of insertion.1–4 Furthermore, experimental and clinical studies published by Turkyilmaz et al. (2007), Pommer et al. (2014) and Wada et al. (2016) proved a significant correlation between primary implant stability measured by ITV and computerised axial tomography (CAT) scan-based bone densitometry in native alveolar bone.5–7
Since alveolar bone loss caused by natural atrophy or destructive iatrogenic procedures at the time of tooth extraction demands immediate (“alveolar ridge preservation”) or later (“guided bone regeneration”) bone augmentation procedures, Di Lallo et al. (2014) and Troedhan et al. (2014) in randomised clinical studies found a significant difference of primary implant stability when augmented alveolar bone was compared with native alveolar bone.8,9 Recently, a randomised clinical study was performed by Troedhan et al. (2019) to investigate if a significant correlation between pre-surgical cone-beam computed tomography (CBCT) bone densitometry performed with X-Mind trium CBCT (ACTEON) and primary implant stability in augmented sinus sites could be proven.
Study design
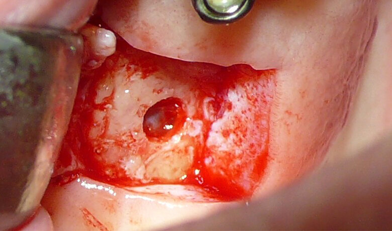
A randomised clinical study was conducted on 128 patients. 101 patients with less than 4mm subantral crest- height underwent a uni- or bilateral transcrestal hydrodynamic ultrasound Piezotome sinus lift (INTRALIFT) with four different and randomly allocated bone graft materials (mono- or biphasic mouldable and self-hardening biomaterial, granular synthetic and xenogeneic bone substitute) in 114 INTRALIFT sites. The transcrestal Piezotome INTRALIFT provides the least risk of mem- brane-perforations and has proven to detach the periosteum of the sinus membrane cleanly from the bony base of the antrum, thus preventing biases of the study already at the stage of the surgery. The clean detachment of the periosteum from the bone base does not interfere with the regular bone regeneration in the subantral scaffold by dissection or lacerations of the periosteal layer of the sinus membrane, which carries the pre-osteoblast cell layer.10–15
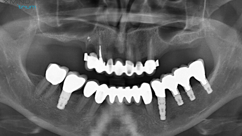
Figure 1 shows a split-mouth case with a bilateral INTRALIFT procedure: after a small crestal “booklet”-flap of approx. 7x7mm is detached, the sinus floor is safely opened with ultrasound Piezotome tips (Figs. 2 & 3), the sinus membrane then detached by the hydrodynamic cavitation effect of the Piezotome-tip TKW5 plugged into the approach canal (Figs. 4 & 5) and the subantral scaffold filled with 2cm of randomly assigned biomaterial (Figs. 6 & 7), followed by wound closure (Fig. 8). After a mean healing period of 8,4 months X-Mind trium CBCT scans were performed, the digital setup of the future bridge constructed with the AIS 3D app and the bone density determined in the sinus-lift site around a virtual implant (Fig. 9). Standardised implants (4mm in diameter and 12mm in length) were then inserted in the position of the virtual implant and insertion torque values (ITV) measured intra-surgically (test groups; Fig. 10). A total of 27 patients with sufficient native subantral crestal bone (min. crest width: 6 mm, height: 12 mm) were screened by X-Mind trium CBCT for bone density with the virtual implant (Fig. 11), the standardised implant inserted and the ITV recorded (control group). Figure 12 depicts the final result after implant insertion in the patient case shown in Figures 1–9.
Study outcomes
As can be seen in Fig. 13, the mean CBCT bone density values in Hounsfield units (HU) at the implant site differed significantly (p <0.05) between all four test groups and the control group. The precise numerical HU values are “translated” by AIS 3D app software and are also colour-coded for easier interpretation at first glance: the brighter the green the CBCT voxel matrix shows around the virtual implant, the higher the bone density, with a virtual neutral threshold of 500 HU. Contrary, the more reddish the CBCT voxel matrix around the digital implant is depicted, the worse the biomechanical bone quality (Fig. 14). The corresponding insertion torque values (ITV) of the inserted standardised implant measured at the location of the transcrestal INTRALIFT approach (Fig. 2) also differed significantly between all test groups and the control group. Figure 15 depicts the cumulative result of the correlation between HU and ITV values for all test groups and the control group.
Clinical implications
As the presented study proves, contemporary CBCT technology adds another outstanding feature to the general CBCT-based digital workflow as the first and only tool to safely determine the grade of primary implant stability to be expected at each individual implant site already in the planning phase before the treatment or surgery is performed (Fig. 16). By using CBCT-based bone densitometry as an integrated diagnostic step in the digital workflow, the clinician for the first time can decide individually for each patient and each implant site whether an implant insertion with immediate prosthetic loading might bear an unacceptable risk of early or delayed implant loss, and can therefore inform the patient accordingly based on evidence.
Additionally, the results of this study lead to another interesting conclusion: since different biomaterials lead to significantly different biomechanical bone qualities for regenerated bone with precisely correlated higher values in CBCT-based bone densitometry and insertion torque values, the scientific dispute if autologous, xenogeneic or synthetic bone graft should be considered as gold standard needs to take now a different pathway. In particular, native maxillary bone shows a very weak biomechanical quality and this weakness obviously can be substan- tially improved by biomaterials used for augmentations. Therefore, the clinician might be better advised to seek out the highest possible biomechanical quality of regenerated bone in GBR sites instead of pursuing complete bone regeneration by only native bone (which—histolog- ically proven—is never the case even when using only autologous bone).
High-resolution CBCT devices, such as the X-Mind trium used in this study, seem to present an indispensable non-invasive and patient-friendly tool not only for enhanced diagnosis, treatment planning and the digital workflow but also for clinical research to add new knowledge to evidence-based dentistry.
Editorial note:
A list of references can be obtained from the publisher.
This article was originally published in implants-international magazine of oral implantology, Vol. 21, Issue 2/2020.
The Piezotome is the most powerful unit on the market. It enables to access the lateral wall in a much more efficient and effective way. It reduces the ...
Diagnostics is the ultimate key to success for any treatment, and it can be particularly challenging in clinical situations that require a great deal of ...
More than six years have passed since the initial launch of the innovative Hu-Friedy Black Line Surgical Collection. Its black coated instruments, designed ...
State-of-the art, self-etching adhesive systems are easy to apply and boost the success rate significantly, especially within restorations in the posterior ...
State-of-the art, self-etching adhesive systems are easy to apply and boost the success rate significantly, especially within restorations in the posterior ...
Specialist Periodontist, Dr Jeremy Vo, explains how he has embraced AIR-FLOW® technology in the management of Peri-Implantitis
Based on our long-term bonding expertise, we developed GLUMA Bond Universal – a universal bonding answering to all your bonding needs. It is a reliable ...
3D digital imaging is particularly valuable in dental practices when high quality and detailed images are needed, such as when offering dental implants or ...
Though many smile design programmes offer us solutions for rendering of multiple-tooth replacements, very often in our daily practice we encounter major ...
DÜBENDORF, Switzerland: Researchers of the Swiss Federal Laboratories for Materials Science and Technology (Empa) and the Swiss Federal Institute of ...
Live webinar
Tue. 9 December 2025
9:30 pm UAE (Dubai)
Live webinar
Wed. 10 December 2025
4:00 am UAE (Dubai)
Prof. Dr. Wael Att, Dr. Robert A. Levine DDS, FCPP, FISPPS, AOD
Live webinar
Wed. 10 December 2025
7:00 pm UAE (Dubai)
Live webinar
Wed. 10 December 2025
9:00 pm UAE (Dubai)
Live webinar
Wed. 10 December 2025
10:00 pm UAE (Dubai)
Live webinar
Wed. 10 December 2025
10:00 pm UAE (Dubai)
Live webinar
Fri. 12 December 2025
12:00 am UAE (Dubai)
To post a reply please login or register