Panoramic radiograph showing a minor apical infection of the mandibular right first molar and endodontic treatment. (All images: Dr Philippe Sleiman and Prof. Ibrahim Nasseh)
Diagnostics is the ultimate key to success for any treatment, and it can be particularly challenging in clinical situations that require a great deal of information in order to put the puzzle together. In this article, we will focus on three such clinical situations and present a rare case of mastocytosis, cases of lesions related to bisphosphonate treatment and a case of a traumatic bone lesion. Of course, anamnesis is the starting point of any diagnosis, but patients’ information in cases of traumatic lesions is extremely important because these lesions can be slow to develop and date back several years—even 20 years.
Mastocytosis bone lesion
Systemic mastocytosis is a rare disorder that results in abnormal proliferation of mast cells. Signs and symptoms of systemic mastocytosis depend on the part of the body affected. Bone involvement is the most common and significant imaging finding in patients with systemic mastocytosis and is a prognostic indicator because it may reflect a more aggressive disease course. When interpreted in conjunction with clinical features, skeletal imaging can raise suspicion of systemic mastocytosis.
Fig. 1: 2D image generated from the DEXIS OP 3D scan, showing multiple bone lesions.
The patient in this case requested a second opinion on a molar that was causing him some discomfort, for which his dentist had recommended extraction and referred him to a dental surgeon. The radiograph did not show normal bone density or a typical periapical lesion. When asked about his health and medical history, the patient reported that he had an autoimmune condition, mastocytosis.
The patient was asked to search for a centre in his area with the DEXIS OP 3D unit, which provides high-quality images, and to request a 5 × 5 scan in endodontic mode, because it has the highest level of detail. A 2D view was generated from the scan to obtain a preview of the situation (Fig. 1). This showed a large lesion at the level of the mesial root between the molar and the premolar, a smaller lesion under the distal root, a minor lesion at the apex of the mesial root and a large lesion under the distal root at the lower level of the mandible. The question was whether this was one lesion or multiple lesions and one pathology or several.
The scan was then analysed using DTX Studio Clinic (DEXIS; Fig. 2). It fully supports importing and viewing of any DICOM file and can be used for 2D radiographs and intra-oral photographs. The platform integrates multiple artificial intelligence tools in 2D and 3D workflows, boasting several innovative features. One of its most useful features is that the software processes the image in order to produce the best quality to support the clinician in accurate diagnosis.
After adjusting the horizontal and vertical axes according to the axis of the distal root, we could see clearly that the lower bone lesions were well defined (Fig. 3). The clear separation between the lesions, which was evident in the coronal and sagittal views, indicated that they were two different pathologies. The periodontal ligament of the mesial root was present and uninterrupted, marking the separation between the lesion located between the molar and premolar and the mesial root of the molar (Figs. 4a–d & 5). This again confirmed a clinical situation with two kinds of pathologies. The large bone lesions were due to the mastocytosis, and the apical infection of the roots was due to failed root canal treatment.
Fig. 2: Application of artificial intelligence to the 2D radiograph to focus on multiple areas in DTX Studio Clinic.
Fig. 3: Clear separation between the two lesions in the analysis of the 2D image generated from the DEXIS OP 3D scan in DTX Studio Clinic.
Figs. 4a–d: After adjusting the axial view according to the roots, the extent of the lesions and the separation between the lesions could be seen clearly.
Fig. 5: The extent of the lesions and the separation between the lesions are clearly visible.
Bisphosphonate-associated bone lesions
Fig. 6: Swelling of the right mandible.
Bisphosphonates, when administered intravenously for the treatment of cancer, have been associated with osteonecrosis of the jaw. The mandible is twice as frequently affected as the maxilla, and most cases occur after high-dose intravenous administration used for some cancer patients. “Phossy jaw” has been described since Victorian times. Imaging findings related to bisphosphonate-related osteonecrosis of the jaw include osteolysis, osteosclerosis, cortical bone erosion, formation of sequestra, persistent alveolar socket after tooth extraction, periosteal neoformation, widening of the periodontal ligament, periradicular radiolucencies, thickening of the lamina dura and of the cortex, and narrowing of the mandibular canal.
Some 60% of cases are preceded by a dental surgical procedure that involves the bone, and it has been suggested that bisphosphonate treatment should be postponed until after any dental work to eliminate potential sites of infection. The use of antibiotics may otherwise be indicated prior to any surgery. In both cases described here, bisphosphonate-related osteonecrosis of the jaw was not triggered by a surgical procedure but by chronic apical infection. It is thus important that all patients who are to undergo bisphosphonate treatment have a CBCT scan taken, not just a panoramic and periapica radiographs, because these cannot show hidden infections.
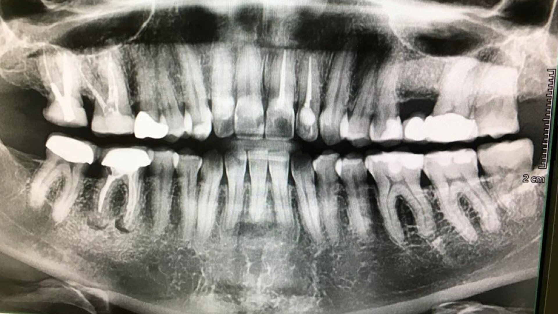
In this first case, the patient, who lived abroad and was unable to travel at the time, had swelling of her right mandible (Fig. 6), had had breast cancer and had been under bisphosphonate treatment for 18 months. She sent a panoramic radiograph (Fig. 7), and this showed a minor apical infection of the mandibular right first molar, which had undergone endodontic treatment. A CBCT scan was then taken, and from examining her scan, we could clearly see an area of bone densification (Fig. 8). This should be a red flag because this indicates the start of bone necrosis.
Our recommendations were a loading dose of antibiotics for ten days, followed by retreatment of the molar and antibiotics for five days. Unfortunately, her primary dentist ended up extracting the molar, the socket never healed and osteonecrosis of the jaw was established (Fig. 9). At this point, our recommendation was to have her treating doctor discuss treatment of this area with a maxillofacial specialist.
7: Panoramic radiograph showing a minor apical infection of the mandibular right first molar and endodontic treatment.
Fig. 8: Axial view of the CBCT scan showing a small apical infection of the mandibular right first molar, surrounded by an area of dense ossification extending over a large part of her mandible.
Figs. 9a & b: Osteonecrosis after extraction of the mandibular first molar.
Fig. 9b
Fig. 10: Radiograph of the area demonstrating bisphosphonate associated bone necrosis.
Figs. 11a–e: Axial and coronal views of the CBCT scan showing the quality of the bone in this typical bisphosphonate-associated bone necrosis case.
Fig. 11b
Fig. 11c
Fig. 11d
Fig. 11e
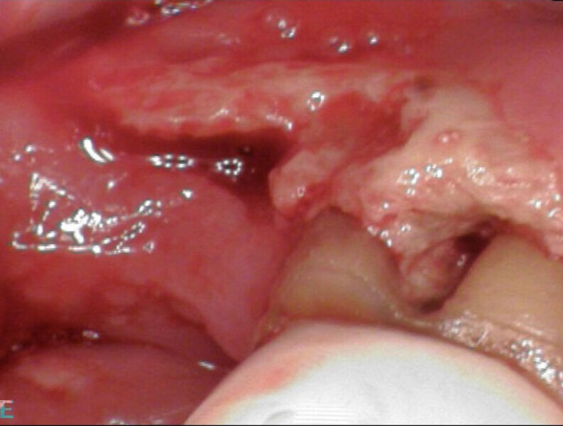
Figs. 12a–d: Sequestra of necrotic bone that had become loose and were removed from the exposed area.
Fig. 12b
Fig. 12c
Fig. 12d
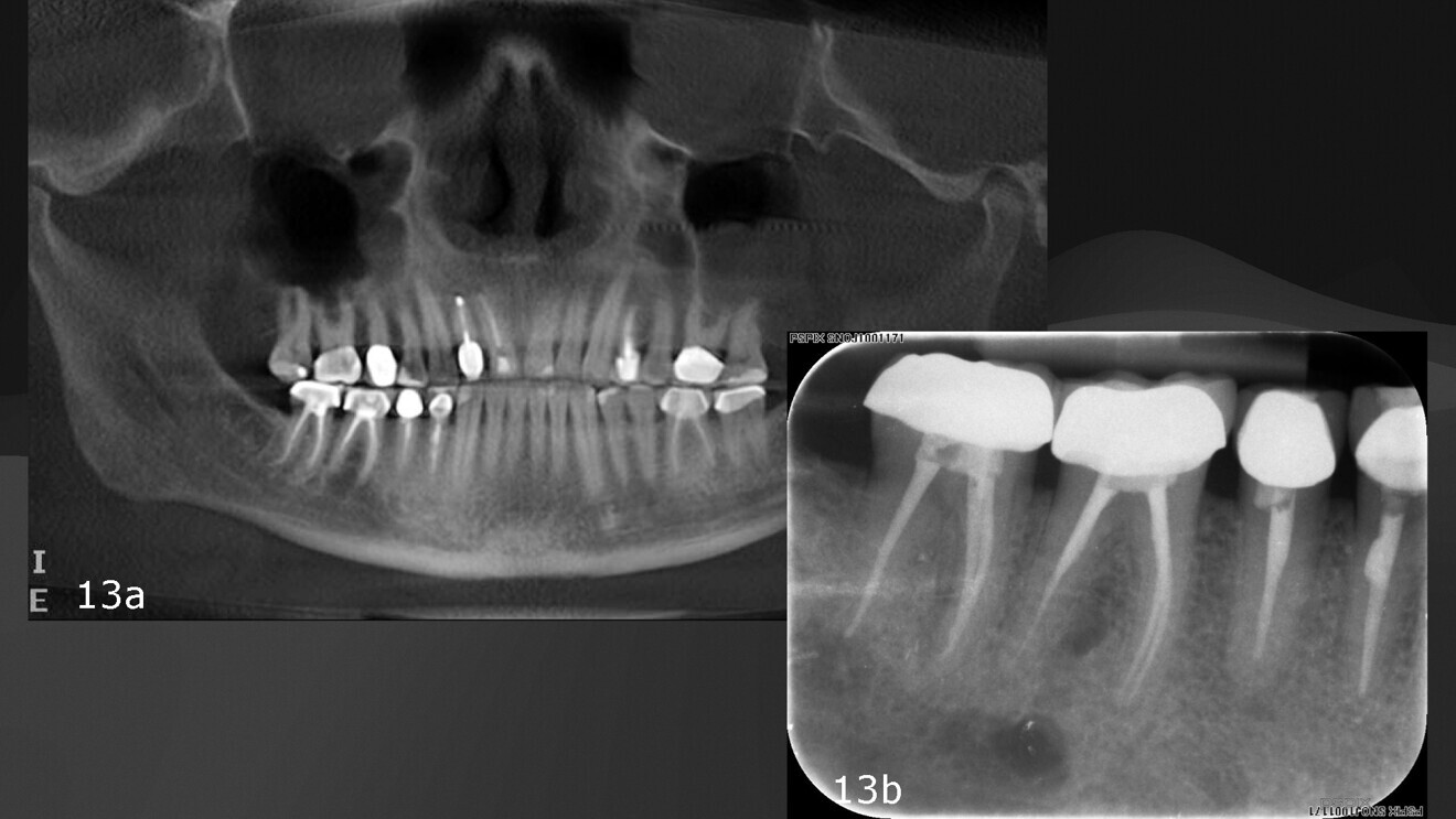
In this second case, the patient was referred by his general dentist for retreatment of his molar owing to pain on chewing (Fig. 10). On the medical file, treatment for melanoma was noted. Further questioning determined that he was taking bisphosphonate, among other medications. At this point, a CBCT scan was taken, and on it, we could see the quality of the bone clearly, including sequestra, typical of bisphosphonate-associated bone lesions (Figs. 11a–e). The reason for the occurrence in this area was the infection of the distal root due to a canal that had been missed during the root canal procedure. We consulted with the patient’s treating doctor, who recommended a long course of treatment with antibiotics for the interim and management of the necrotic bone that was showing under the tooth from the lingual side (Figs. 12a–d).
Figs. 13a & b: Panoramic and periapical follow-up images showing a radiolucency under the mandibular right first molar.
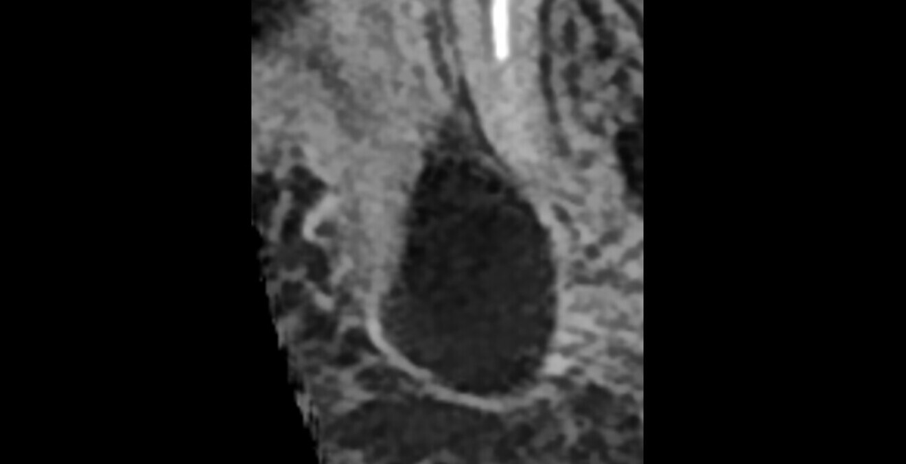
Figs. 14a–d: Bone lesion with a non-uniform border or shape on the CBCT scan.
Fig. 15: After extraction of the molar, checking for any connection with the lesion.
Traumatic lesion unrelated to the teeth
In many cases, a tooth that sustains a trauma can become necrotic after a certain time, and a cyst can develop in the periapical area. A traumatic bone cyst (simple bone cyst or haemorrhagic bone cyst) can occur in the mandible (most common, especially in the posterior body or ramus) or maxilla. It arises from a trauma-induced intraosseous haemorrhage that fails to heal, leaving an empty or fluid-filled cavity, and is often asymptomatic and thus discovered incidentally on radiographs. It is not a true cyst because it lacks an epithelial lining, and it may appear as a unilocular radiolucency between teeth.
Diagnosis is by imaging with radiographs or a CBCT or MRI scan to assess bone or soft-tissue involvement. Biopsy is undertaken if imaging is not definitive and to rule out tumours or other pathologies. A traumatic bone cyst often heals after surgical exploration (curettage), an aneurysmal bone cyst requires surgical removal or sclerotherapy, and a mucocele requires excision if it persists.
The patient in this case was referred back to check on a retreatment performed some years before. It was clear from the radiographs that the periapical area of the molar was not healthy (Figs. 13a & b). A CBCT scan was taken and, when studied in DTX software, showed a lesion under the molar (Figs. 14a–d). After a careful study of the case, it was determined that the lesion was unrelated to the apices, the periodontal ligament was not interrupted and the lesion had no clear epithelial lining. In order to establish the aetiology, the patient was asked about pain on chewing, but reported no discomfort whatsoever. He had also not been involved in a fight, but recalled having slipped when taking a shower and having hit his mandible on the bathtub.
The patient, who was a bit anxious, was reassured that there was nothing to be anxious about and that it was a typical traumatic cyst. However, upon his insistence, the dental surgeon removed the molar, and to determine whether there was any connection with the lesion (Fig. 15), he had to create a passage to the lesion in order to perform curettage and induce bleeding.
Conclusion
We can never know what clinical situation we may face in our daily practice. We need to have the proper tools and data for accurate diagnosis. Do not hesitate to ask questions of the patient or to consult colleagues if there is something you feel is odd or if you are not certain of the diagnosis.
When Mectron introduced PIEZOSURGERY in 2001, the technology was revolutionary for bone surgery: a device providing precision, safety, perfect ergonomics ...
The high prevalence of tooth-related diseases, a growing geriatric population and a rapidly growing awareness to replace lost teeth by dental implants force...
Realized in combination with the ideas coming directly from the most experienced clinicians and Mectron longstanding experience and technical know-how in ...
State-of-the art, self-etching adhesive systems are easy to apply and boost the success rate significantly, especially within restorations in the posterior ...
State-of-the art, self-etching adhesive systems are easy to apply and boost the success rate significantly, especially within restorations in the posterior ...
DUBAI, UAE: For individuals with autism, a trip to the dentist poses a range of serious challenges, which can include sensory overstimulation, departure ...
Based on our long-term bonding expertise, we developed GLUMA Bond Universal – a universal bonding answering to all your bonding needs. It is a reliable ...
Three countries in five days in the name of endodontics.
The beginning of the year saw Joerg Vogel, Vice President of International Clinical Solutions at ...
Education
Live webinar Mon. 10 November 2025 9:00 pm UAE (Dubai)
To post a reply please login or register