Composite Artistry has become an important element of direct restorative treatment in dental practice today enabling clinicians to create life-like restorations with individualized characterizations to match the patient’s natural teeth.
Anterior restorations in the aesthetic zone tend to constantly challenge the clinician’s skill, therefore it is important to plan carefully by combining art and science. Adopting the Minimally invasive Cosmetic Dentistry (MiCD) concept, introduced by Dr Sushil Koirala in my treatment protocol with emphasis on preservation of natural tooth structure “Do No Harm Dentistry” has helped create predictable aesthetic restorations that exceed patient expectations.
Fractured upper central incisors are one of the most common cases of dentoalveolar trauma in the permanent dentition. The following clinical case highlights a simple technique to achieve predictable aesthetics with natural optical characteristics in a class IV restoration using a sculptable bio-mimetic direct restorative “Beautifil II LS”
Patient Case
A 35 years old male patient visited our dental office with a complaint of chipped upper front teeth ( tooth # 11,21) resulting from a childhood injury with no pain or sensitivity . The patient requested to enhance his smile with minimally invasive treatment.
Treatment Plan
After Intraoral examination, photographs were taken (Fig. 1) and a treatment strategy was formulated keeping in mind the patient high expectations for aesthetic restorations with less invasive treatment.
A direct composite restorative material with low shrinkage, predictable aesthetics, sculptable handling and easy polishability- Beautifil IILS was selected. High value translucent enamel shade was identified to create optical effects of youthful teeth
Materials
Tooth preparation – Diamond Bur FG, Super-Snap Coarse Disk (Black)
Restoration – Beautifil II LS – shade A2O, A2, Beautifil Injectable - shade INC, Beautifil II
Enamel – shade HVT (High-Value Translucent enamel shade)
Bonding system – Etchant and 2 step Adhesive system (FL-Bond II)
Finishing & Polishing – Fine Diamond Bur (Red Band on shank) , OneGloss , Super-Snap X-Treme, Direct Dia Polishing Paste, Super Snap Buff Disk
Step by Step Restorative Technique
Shade Selection
Vita Shade guide was used for shade selection while tooth was hydrated. Black and white photo is recommended for assessing value. Shade A2 was selected. (Fig. 2)
Mock Up
• An impression is taken and model poured using die -stone material. Freehand build-up of composite for both teeth to evaluate the final outcome. Both teeth were carefully analysed and identified that each tooth required a different recipe for layering the composite material. (Fig. 3)
• Silicon putty index made from the plaster model to create an enamel shell to guide the build-up of the palatal enamel layer.
Tooth Preparation
• Rubber dam isolation from premolar to premolar, Rubber dam inverted and floss tied around teeth for further retraction of gingiva to eliminate contamination with sulcular fluid. (Fig. 4)
• Infinite bevelling of margins to blend the composite material on both sides, labial and palatal with a round ended tapered Diamond bur (Fig. 5). Finish with a Super snap Black disk to avoid leaving any unsupported enamel. (Fig. 6)
• Putty index checked intra orally and modified to ensure a perfect fit. (Fig. 7)
• Teflon tape is placed on adjacent teeth to protect from accidental etching and bonding.
Restoration
• Selective enamel etching was done using 32% Phosphoric acid with microbrush agitation and slight over-etching of vestibular enamel. Rinse the etchant, generously with water for 20 seconds. After gentle air drying, frosted enamel was visible
• 2 Step Adhesive System FL- BOND II was used. First applied Primer and left for 10 sec., air dried and followed by application of the bonding agent, excess bonding agent is carefully removed by high vacuum motorized suction, and light cured for 10sec.
• Palatal shell was created using Beautifil Injectable composite enamel Shade Inc. Due to excellent handling properties, a very smooth palatal shell can be made.
Clinical Tip : this method helps reduce chair time during the finishing & polishing protocol. (Fig. 8)
• Build-up deep dentin with a layer of Beautifil II LS shade A2O on the palatal shell to block the light transmission . More quantity was applied in tooth 21 compared to tooth 11 due to the extent of fracture. (Fig. 9)
• To attain good contact and emergence profile for better contouring, a Garrison Anterior band with No. 1 yellow wedge was placed in between both centrals. A thin layer of Beautifil II LS shade A2 was placed leaving sufficient space for build-up of final enamel layer (Fig. 10)
• Final layer of enamel was restored using Beautifil II High-Value translucent enamel shade HVT to create some natural surface characterizations and achieve a high value. The enamel layer was smoothened with the help of an art brush. (Fig. 11)
Clinical Tip: final curing is done after applying glycerine to avoid oxygen-inhibited layer.
Finishing and Polishing
• Rubber dam was removed carefully before starting the finishing & polishing procedure
- The first step of finishing was to mark the line angles.
- Contouring was done using a tapered fine (red band) diamond point and Super Snap disk (purple).
- High points were checked and adjusted with 40 micron articulating paper in static occlusion & 200 micron articulating paper in Dynamic occlusion.
- Finishing was done with Dura White stone (Fig. 12) and One gloss,
Clinical Tip: avoid touching the line angles in order to highlight the line angles for a more natural contour
- Polishing was done using Super Snap X-Treme green and red disks (Fig. 13) until a glossy and reflective composite surface is achieved
- The final Super polishing was done with Direct Dia diamond paste with Super Snap Buff Disk for a high gloss effect that matches the natural teeth
• Patient recalled after one week for assessment of restoration and photos taken after rehydration from different angles to check teeth contour and anatomy.(Fig. 17)
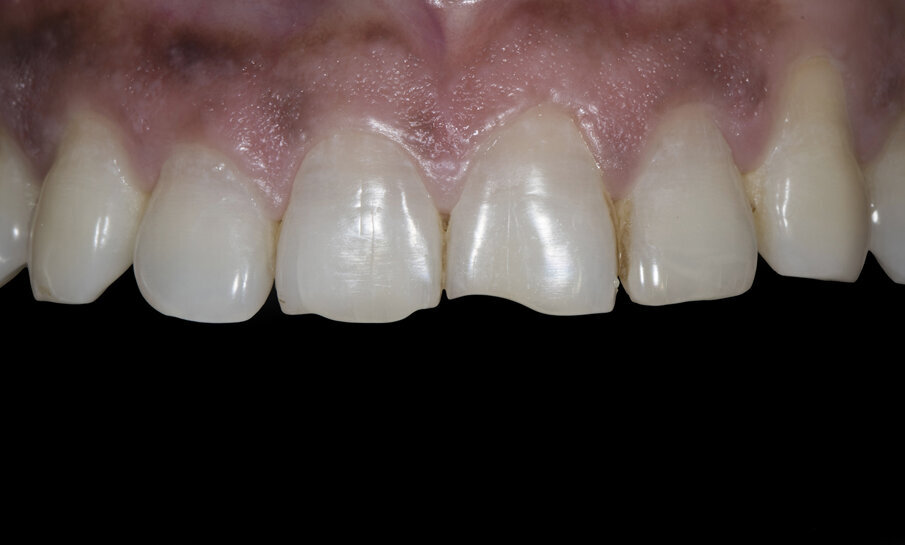
Fig. 1: Fractured maxillary anterior incisal edge of tooth #11 and 21
Fig. 2: Black and white photo taken with classic Vita shade guide for value assessment, Shade A2 matches with natural dentition compared to A1
Fig. 3: Buccal view of the composite build-up on the tooth model, showing differences of a fractured incisal edges
Fig. 4: Rubber dam isolation with floss ties
Fig. 5: Labial bevelling of fractured area
Fig. 6: Smoothing incisal edge with the Super Snap Black disk
Fig. 7: Putty index checked intra orally after placing rubber dam
Fig. 8: Palatal shell made using Shofu Injectable INC enamel shade
Fig. 9: Build-up of deep dentin with Shofu Beautifil II LS A20, note the different amount placed in each tooth
Fig. 10: Thin layer of Beautifil II LS shade A2 placed after placement of Garrison anterior matrix band with silicon wedge between both central incisors for better contact and contour of the tooth
Fig. 11: Final enamel layer build-up with Beautifil II Enamel shade HVT of achieve high-value translucency and finished with an art brush in horizontal motion strokes
Fig. 12: After contouring, finishing done with dura white stone
Fig. 13: Polishing with Super Snap X-Treme green disk followed by pink disc clearly showing the reflection on the tooth
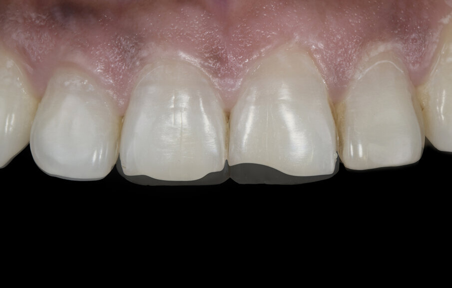
Fig. 14: Intra oral image showing final restoration
Fig. 15: Before and after image digitally overlapped to showcase extent of actual build-up of the composite restoration
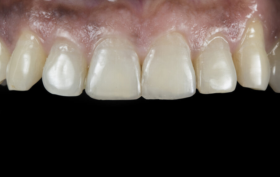
Fig. 16: Frontal view of maxillary anterior teeth showcasing bio mimetic aesthetics of composite resin with a close match to natural tooth translucency and effects in the incisal area
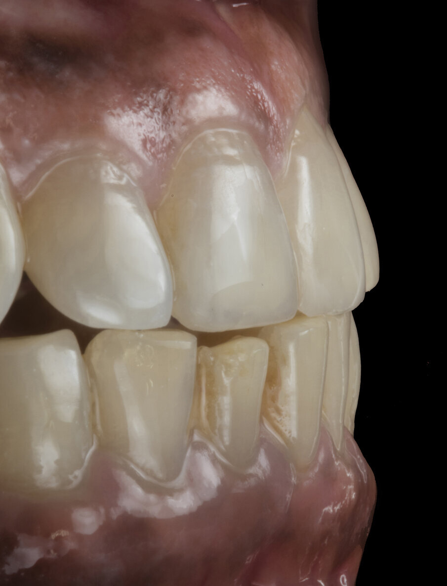
Fig. 17: Artistic side view of both dental arches in anterior guidance 1 week post-treatment showcasing complete rehydration of tooth and natural life-like aesthetics
Results
It is often challenging to restore cases with small fractured incisal edges as there is limited space available to manipulate and blend the composite shades.
Proper understanding of the composite material and optical properties of different shades of opaque dentin, dentin and enamel help to explore the natural blending ability of colours for this patient and create restorations that harmonize with natural teeth.
Attention to detail was key to achieving surface characterization to maximise the aesthetic outcome of the restoration.
The use of a proper protocol for finishing and polishing helped achieve a glazed-like composite surface similar to ceramic or natural teeth as seen in the extreme close up clinical photographs
Conclusion
The before and after clinical photos of this patient case highlights that predictable life-like restorations can be created to mimic natural teeth using a conservative approach with minimal tooth preparation, selection of the right type and shades of composites followed by a comprehensive finishing and polishing protocol.
Acknowledgment
Author wish to thank Shofu Dental Asia-Pacific Pte. Ltd. and Garrisons USA for their Support.
Bioactive direct composite resin materials like the next generation high strength injectables and low shrinkage packable composites, when used with advanced...
The need for easier, simpler and faster workflow is more critical in dentistry, now more than ever before. Conventional composite restorations are ...
Shofu’s Gen 4 smart digital dental camera is developed to shoot fast, predictable and consistent clinical photographs for everyday dentistry.
Beautifil II LS breaks new ground in direct resin technology with its extremely low polymerization shrinkage and related stress while exhibiting superior ...
Beautifil II LS breaks new ground in direct resin technology with its extremely low polymerization shrinkage and related stress while exhibiting superior ...
Beautifil II LS breaks new ground in direct resin technology with its extremely low polymerization shrinkage and related stress while exhibiting superior ...
BEAUTIFIL II ENAMEL and GINGIVA from Shofu are developed as a complementary line extension of BEAUTIFIL II series to easily create life-like direct ...
We are often faced with aesthetically challenging cases in our everyday practice. Selection of the right composite material combined with a comprehensive ...
Przemyslaw Grodecki DDS, PhD
Przemyslaw Grodecki DDS, PhD
Przemyslaw Grodecki DDS, PhD
To post a reply please login or register