Direct restorations to date remain the most common type of treatment provided by dentists in routine clinical practice. With the advances in information technology and social media taking centre stage with the selfie culture, there is an increase in oral health awareness leading to a higher demand for smile enhancements with aesthetic restorations.
Today we see more and more patients visiting the clinic with a common request to enhance their smiles or replace discoloured old dental fillings with more aesthetic, tooth-coloured life-like restorations. Meeting patient demands and expectations is something we have to address carefully as its always important to provide the desired aesthetic outcomes to our patients while preserving maximum healthy natural tooth structure for the best long-term prognosis of the restorative treatment. This holistic treatment approach is best achieved by adopting the Minimally Invasive Cosmetic Dentistry (MICD) concept and treatment protocol in routine clinical practice.
The clinical case shared below explains an MICD restorative protocol adopted for replacing a posterior old amalgam restoration using the Beautifil range of bioactive composite resin to achieve the patient’s desired aesthetic outcomes (Figs 1a, 1b).
Patient Case
A female patient visited the clinic complaining of unsightly “silver” coloured fillings on her lower molar teeth and requested for replacement with more aesthetic tooth coloured fillings as she was embarrassed to laugh with her mouth opened which resulted in a lack of self-confidence. Upon discussion of the treatment plan, it was agreed to initially replace only the first molar tooth due to her limited budget.
Material Selection
- Isolation – Rubber Dam
- Tooth preparation and caries removal – Diamond Points
- Etching & Bonding – 35% Phosphoric acid and BeautiBond bonding agent
- Mask discolouration – Beautifil Opaquer # UO
- Deep Dentin layer – Beautifil Injectable X #A1O
- Dentin layer – Beautifil II LS #A3
- Characterization – Dark Brown Stains
- Finishing & Polishing – OneGloss 2in1 Smart Polisher
Restorative Process
Rubber dam isolation has become more mainstream in clinical practice today providing the clinicians with improved access and visibility during the restorative process. After rubber dam isolation the old amalgam restoration was removed and amalgam tattoo was observed in the deeper section of the cavity (Fig 2 & 3).
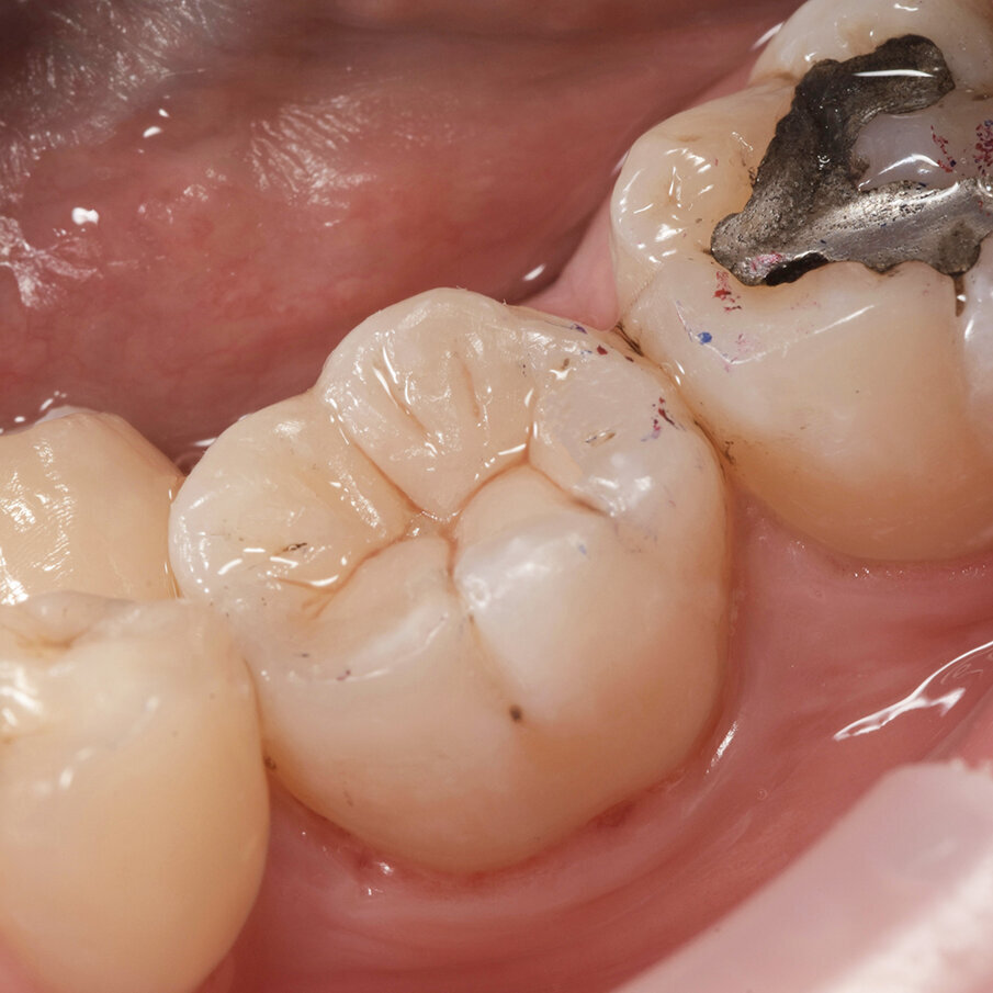
Fig 1a, 1b: Before and after Amalgam replacement with Beautifil range of bioactive nanohybrid composite
Fig 2: Rubber dam isolation
Fig 3: Removal of old amalgam with presence of amalgam “tattoo” at the base
Fig 4: Etching and bonding with 35% phosphoric acid and Beautibond
Fig 5: Beautifil Opaquer Shade UO applied to mask the amalgam “tattoo” at the base of the cavity
Fig 6: After placement of Beautifil Opaquer UO
Fig 7: Replacing deep dentin layer with bioactive Beautifil Injectable X shade A10
Fig 8: Build-up of final layer with Beautifil IILS shade A3
Fig 9: Create the groves with LM Arte Fissura & Dark Brown stain
Fig 10: Polishing with OneGloss Midi point 2in1 smart polisher
Fig 11: Final restoration after removal of rubber dam
After performing selective etching with 35% phosphoric acid and application of the 7th generation bonding system BeautiBond, Beautifil Opaquer shade UO was applied to mask the discolouration at the base of the cavity (Fig 4& 5& 6). The deep dentin layer build-up was with Beautifil Injectable X shade A1O which helps to apply the material exactly where you need it with the convenience of injecting as you shade. (Fig 7) After light-cure the build-up of dentin layer was completed with Beautifil II LS shade A3. As the translucency of the dentin shade was sufficient for the aesthetic outcome required a 2 layer build-up technique was used for this restoration (Fig 8). The surface characterization and groves were created with LM Arte Fissura & Dark Brown stain (Fig 9).
As there were minimal adjustments of the occlusal surface a OneGloss 2in1 Smart Polisher was used with more pressure for fine finishing followed by feather light pressure to achieve the final polish. (Fig 10, 11)
Conclusion
In order to achieve both the desired aesthetics and function, material selection plays a very important role when replacing old amalgam restorations as often discolouration known as amalgam tattoo remains on the tooth surface. In this patient case where aesthetics were the first priority a bioactive nano-hybrid composite Beautifil II LS was selected as an ideal choice since the sculptable non-tacky consistency and easy blending of shades and polishability helped to achieve the desired aesthetics while the bioactive properties and low polymerization shrinkage provided additional protection to prevent secondary caries. I adopted a simplified finishing and polishing protocol to achieve the high gloss enamel-like the lustre of the final restoration as this step is key to increasing longevity for a long-lasting restoration.
Clinical tips
1. To prevent overbuilding the cusp, check the patients bite/occlusion with articulating paper before the start of the treatment. The articulating paper marking on the occlusal surface, helps guide the build-up of the composite resin minimizing high points.
2. Use LM Arte Fissura or a size #10 K file to carve and characterize the grooves on the occlusal surface to achieve more life-like aesthetics.
We are often faced with aesthetically challenging cases in our everyday practice. Selection of the right composite material combined with a comprehensive ...
"I can`t afford e.max veneers, do you have something more affordable?" is a question often encountered in clinical practice today!
Dentists today are spoilt for choice with a variety of direct and indirect treatment options for aesthetic restorations in the anterior zone.
BEAUTIFIL II ENAMEL and GINGIVA from Shofu are developed as a complementary line extension of BEAUTIFIL II series to easily create life-like direct ...
A 61-year-old Thai female presented with loosening 9-unit fixed dental prostheses (FDPs). Her chief complaint concerned her loose and unpleasing front teeth...
Przemyslaw Grodecki DDS, PhD
Przemyslaw Grodecki DDS, PhD
Przemyslaw Grodecki DDS, PhD
To post a reply please login or register