After almost ten years, the leading composite veneering system shines with a new brilliance: the customisable BRILLIANT COMPONEER composite shells have been optimised in terms of gloss stability and colour blending. In the following case report, Dr. Mario Besek explains the advantages of the concept and demonstrates the consequences in practice.
After many years of research, the international dental specialist COLTENE developed a system in 2010 that was to make anterior tooth restoration much easier for dentists: COMPONEER are polymerised, prefabricated composite enamel shells, which improve the usual freehand technique for major anterior tooth restorations. The customisable composite shells are completely free of inclusions due to mechanical fabrication, are homogeneous and have a layer thickness of only 0.3 mm in the cervical area at the thinnest point. When launched on the market, a silky gloss was already achieved owing to the material properties, but the maximum of what was technically possible had by no means been exploited (Fig. 1).
Brilliant further development
In the following years COLTENE developed its composite materials further with regard to their physical and chemical properties, paying particular attention to the gloss of the material. This research resulted in both the submicron composite BRILLIANT EverGlow and the corresponding ONE COAT 7 UNIVERSAL bond. In addition to its smooth application, the new composite is particularly notable for its gloss stability.
Conversely, the perfectly matched bond contains the proven MDP (10-methacryloyloxydecyl dihydrogen phosphate), which provides excellent adhesion on the tooth side as well as on composite and other restorative materials. The insights gained from this development finally led to the revision of the classic COMPONEER.
Of particular interest here was gloss stability, which depends largely on filler density and size. The first generation COMPONEER had a filler size of up to 1μm. Abrasion through toothbrushes allows the matrix to be released between larger fillers, which refract and scatter light on the surface. However, under a viewing angle of 60° incident light and reflection, only a part of the light reaches the human eye (Fig. 2). Therefore, the composite, which is capable of machine processing, has been further developed so that the average particle size is only 0.4 μm.
On the one hand this results in less matrix being released and on the other hand the smaller particles lead to less refraction of light (Fig. 3). Furthermore, the particle size lies below the wavelength of visible light (400 – 700 nm). This new development not only led to new shells, but also to the improved new concept of BRILLIANT COMPONEER.
Fig. 1: Silky gloss of classic composite shells
Fig. 2: Incidence of light on the human eye
Fig 3: Reduced particle size
Fig. 4: Older, abraded anterior tooth veneers
Fig. 5: Shade selection with BRILLIANT EverGlow shade guide
Fig. 6: Integration into the natural tooth row after completion
Figs. 7/8: Placement of the composite shells
Fig. 9: Placement of the composite shells
Fig. 10: Overall shade impression when placing the composite shell on the colour strip
Fig. 11: No visible transitions to the tooth substance
Fig. 12: Brilliance at speaking distance
Figs. 13: Restoration in amelogenesis with classical COMPONEER
Figs. 14: Restoration in amelogenesis with classical COMPONEER
Figs. 15: Restoration in amelogenesis with novel BRILLIANT COMPONEER
Figs. 16: Restoration in amelogenesis with novel BRILLIANT COMPONEER
Fig. 17: Original initial situation 9 years ago
Fig. 18: Original preparation 9 years ago
Fig. 19: Restoration with COMPONEER (first generation) 9 years ago
Fig. 20: Current preparation, not more invasive than 9 years ago
Fig. 21: Restoration of the same case with BRILLIANT COMPONEER
Perfect surface gloss and improved bonding
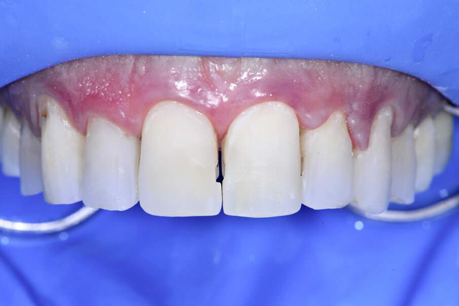
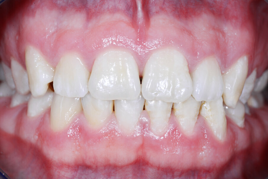
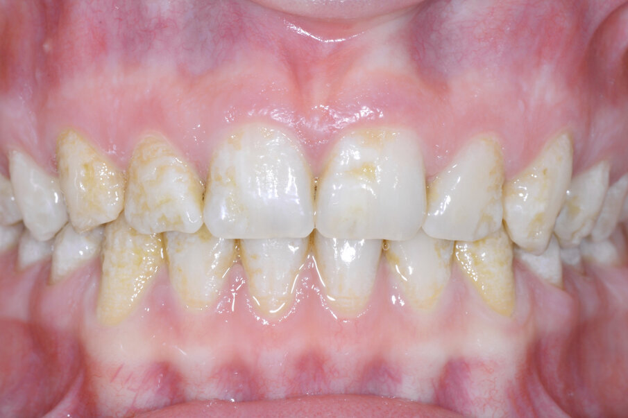
A few work steps have changed through this reformulation and these are described below: the initial situation in the present case shows older, abraded anterior tooth veneers (Fig. 4). The basic shade of the tooth is now determined with the BRILLIANT EverGlow shade guide, as the BRILLIANT COMPONEER is preferably used with the optimally matched material (Fig. 5). The shade guide can be used to determine the shade of the composite shells. The disposable colour strip printed with the BRILLIANT EverGlow shade equivalents is simply torn from the block for hygienic application. BRILLIANT COMPONEER is basically available in two enamel shades, Bleach Trans and Trans, which are exactly matched to BRILLIANT EverGlow. A prospective overall shade impression can be obtained by placing the composite shells on the colour strip (Fig. 6).
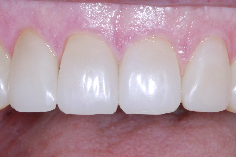
The proven retention structure on the rear of the COMPONEER remains intact. Due to the optimal consistency and improved bonding of ONE COAT 7 UNIVERSAL, it can be light-cured after application as an option, which simplifies wetting of the composite and thus the placement of the shells (Figs. 7, 8). ONE COAT 7 UNIVERSAL is also used on the tooth side after etching. Due to its universal applicability and self-etching effect, bonding at critical points can be improved. Light curing is used to establish bonding (Fig. 9). BRILLIANT COMPONEER integrates harmoniously immediately after completion of the restorations (Fig. 10). The close-up view of the restoration, which is distinguished through its perfect surface gloss, is remarkable. The outstanding bond and ideal shade matching result in perfect blending of the luting composite. There are also no visible transitions to the tooth substance in the cervical region (Fig. 11). While dentists often only pay attention to microscopic details, the brilliance at speaking distance is important for the patient (Fig.12).
Patient case: natural ageing process after nine years
The concrete application options are illustrated in the following patient cases, such as in the case of two siblings with amelogenesis. Case 1 was restored with classical COMPONEER (Figs. 13, 14), the new BRILLIANT COMPONEER was used in case 2 (Figs. 15, 16).
Case 3 is interesting in that the patient was treated nine years ago with COMPONEER of the first generation (Figs. 17-19). After nine years, the natural ageing process can be observed through a loss of initial brilliance. What is remarkable is that the renewed preparation did not cause any additional loss in hard tooth substance. In this example one can see the initial difference after treatment compared to the condition nine years ago (Figs. 20-22). Nor can any defects be seen in the close-up view and even the incorporated structures appear in high brilliance (Figs. 23, 24).
Conclusion
The new formulation of the BRILLIANT COMPONEER composite veneering system has indeed proven successful. The combination of individual elements improves the initial surface brilliance as well as the permanent gloss stability. Colour blending, brilliance and bonding phases have also been optimised – leading to a «more durable» smile for the patient in the long term.
Worldwide, dental practitioners are convinced of this innovative, efficient latest generation bulk composite. Overwhelming feedback since its launch only ...
In the past, we used to prepare teeth and sacrifice tooth substance to protect our prosthetic work due to the required minimum wall thickness. Today we ...
Due to limited access endo experts often want more flexibility from their instruments. Pre-bendable tools can extend the horizon into new dimensions. ...
Modular nickel-titanium systems enable the endo-expert to work flexibly in a variety of indications. Meanwhile, most patient cases can be prepared ...
DUBAI, UAE: The 2018 Dental Facial Cosmetic Conference & Exhibition will be celebrating its 10th anniversary this year on 09-10 November 2018. Total of 42 ...
Live webinar
Thu. 14 May 2026
8:00 pm UAE (Dubai)
Live webinar
Thu. 14 May 2026
10:00 pm UAE (Dubai)
Prof. Hani Ounsi DDS PhD FICD
Live webinar
Tue. 19 May 2026
7:00 pm UAE (Dubai)
Live webinar
Tue. 19 May 2026
9:00 pm UAE (Dubai)
Prof. Dr. med. dent. Ivo Krejci
Live webinar
Wed. 20 May 2026
3:00 pm UAE (Dubai)
Dr. Graham Carmichael BDSc (Hons), DClinDent (Pros), FRACDS, Dr. Robert Gottlander DDS
Live webinar
Wed. 20 May 2026
5:00 pm UAE (Dubai)
Live webinar
Wed. 20 May 2026
9:00 pm UAE (Dubai)
Prof. Dr. med. dent. Tim Joda PhD, MSc, eMBA
Requesting the new Componeer