A 28-year-old female patient had the primary complaint of spacing in the upper front tooth region. The patient’s medical history did not reveal any systemic diseases and an intraoral examination revealed presence of midline spacing between maxillary central incisors (~2mm) (Figs. 1 and 2).
For a more conservative, economical, aesthetic, and quicker option, a direct diastema closure was considered.
All maxillary incisors were isolated with a rubber dam (Fig. 3) to ensure complete control of moisture to keep the area clean and dry whilst also suppressing the papilla to reduce the black triangle postoperatively.
The enamel surface was minimally prepared with a diamond fissure bur to increase the surface area for bonding and to remove aprismatic enamel (Fig. 4).
37% phosphoric acid was applied for 15 seconds on the mesial surface to be restored, then rinsed for 20 seconds (Fig. 5), and dried with air gently (Fig. 6). Then a universal adhesive system was used (Prime&Bond universal™), using a micro brush with a light scrubbing motion for 15 seconds (Fig. 7).
Fig. 1: Preoperative extraoral view of the patient
Fig. 2: Preoperative intraoral view of the patient and the midline diastema
Fig. 3: Maxillary anterior teeth were isolated with a rubber dam
Fig. 4: Teeth preparation
Fig. 6: Dried enamel surface
Fig. 7: Application of Prime&Bond universal™
Fig. 7: Application of Prime&Bond universal™
Fig. 8: Emergence profile of the 1st tooth
Fig. 9: 1st tooth completed
Fig. 10: Correction to the size of the 1st tooth
Fig. 11: Emergence profile of 2nd tooth
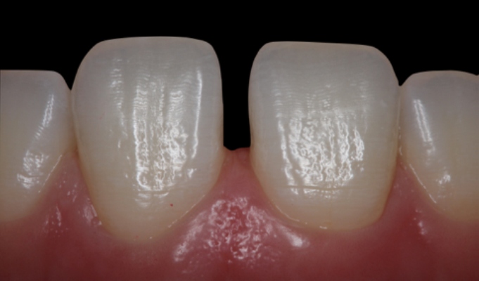
Fig. 12: Result immediately after removing the rubber dam
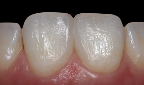
Fig. 14: Control image after one month
Fig. 15: Interdental papilla before direct diastema closure
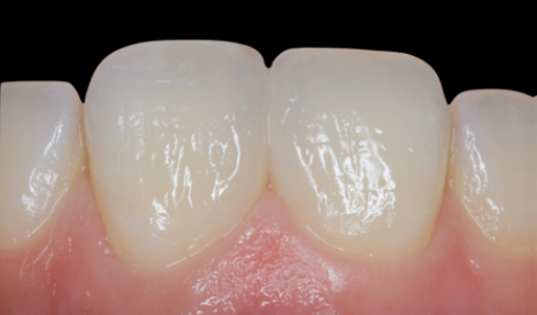
Fig. 16: Interdental papilla after one month
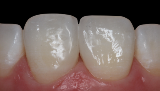
Fig. 17: Completed diastema closure
This was then gently air dried for approximately 5 seconds. Blow to margin, or to thin if necessary, using a light application of air and then light cured for 20 seconds.
The key for papilla regeneration is to provide aggressive cervical curvature that starts subgingivally and this can be done with a mylar strip placed subgingivally with a high viscosity flowable composite or bulk flow composite injected to the contact point area as reference (emergence profile) (Fig. 8).
The key to success in diastema cases is to finish the first tooth completely before starting the second tooth (Fig. 9). Then some corrections can be made to the size of the first tooth so the final size of the centrals will be the same at the end of treatment (Fig. 10). In this case the proximal wall was completed with a single shade universal composite (ceram.x® SpereTEC™ one universal) and then began the emergence profile to complete the proximal wall of the second tooth (Fig. 11).
The teeth were then finished with polishing discs and rubber points. The rubber dam was then removed and as you can see there is a small black triangle in the cervical area (Fig. 12).
The recall visits in diastema cases are very important to see patient satisfaction, to check the periodontal health and to do some polishing and texture (Figs. 13 and 14). With time, the interdental papilla filled the space of the black triangle completely (Figs. 15 and 16).
Please contact your local Dentsply Sirona representative for more information on all the products featured in this direct diastema closure clinical case.
Dentsply Sirona announced that the company has acquired Byte, a rapidly growing clear aligner company. Byte holds a leadership position in the ...
Adjacent teeth damaged by dental bur
Dental Tribune MEA had the pleasure to interview Donald Casey, CEO of Dentsply Sirona to get an insight on the future of dentistry following DS World 2021.
...
From November 13 to 20, 2020, the ultimate dental meeting Dentsply Sirona World takes place as a very special virtual event. With more than 70 courses and ...
Primarily, a curing light is a device to polymerize restorative materials. But it can be so much more, as shown by the new SmartLite Pro from Dentsply ...
By supplying innovative equipment, Dentsply Sirona International Special Clinic Solutions (ISCS) empowers dental professional to provide better dental care...
Part of creating an optimal workflow involves the ability to reliably plan for variables that differ with each patient. 3D imaging gives the clinician the ...
Every year, dental undergraduate and graduate students, with less than 2 years of clinical practice, are invited to participate by documenting a patient ...
Dentsply Sirona is announcing its latest upgrade for both Connect and CEREC Software, giving users new functionalities and even better performance*. Patient...
Live webinar
Wed. 6 May 2026
9:00 pm UAE (Dubai)
Live webinar
Mon. 11 May 2026
8:00 pm UAE (Dubai)
Live webinar
Wed. 24 June 2026
8:30 pm UAE (Dubai)
Dr. med. dent. Britta Hahn
Live webinar
Mon. 6 July 2026
8:00 pm UAE (Dubai)
Live webinar
Mon. 30 November 2026
9:00 pm UAE (Dubai)
To post a reply please login or register