The SDR® technology from Dentsply Sirona provides an unmatched combination of flowable consistency, excellent cavity adaptation, unique self-leveling and minimal shrinkage stress.
With more than 50 million applications and superior performance in 5 and 6-year clinical studies, the SDR® Plus flowable material is the world’s most researched and clinically proven bulk-fill flowable technology.
Dentists can bulk-fill up to 4mm deep to perform faster, easier Class I and II procedures without affecting the durability and longevity of the restoration. The handling properties of SDR® technology in SDR® Plus also make it ideal for several indications including core build-up. With three additional shades (A1, A2, and A3) simplifying aesthetic matching and enhanced wear resistance with a modified glass filler package that significantly increases durability, it is no surprise that SDR® Plus is clinically proven for indirect crown restorations.
Case Study
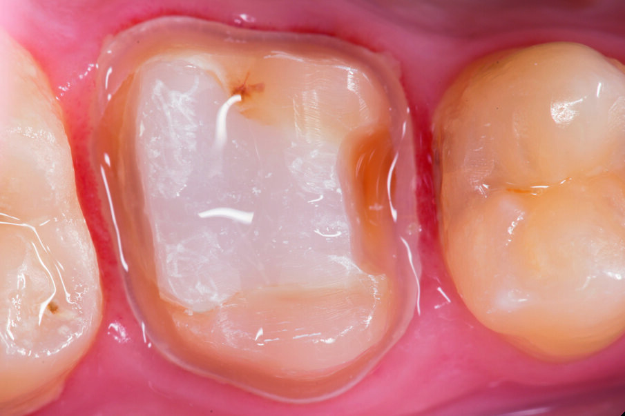
This case below shows a posterior tooth with an endodontic treatment followed by an indirect crown restoration. SDR® Plus is used as a core build up material before the crown was seated.
Conclusion
This case involves the use of SDR® Plus composite as a core build-up material. The outstanding flowability of SDR® Plus composite allows complete filling of the pulp cavity, even in the smallest recesses; the composite was placed in two stages to ensure thorough polymerisation. The periphery of the tooth was then prepared, preserving a layer of enamel at the preparation margin to ensure effective bonding of an all-ceramic crown. This was bonded with the Calibra® system. This protocol thus avoids iatrogenic mechanical strains on the tooth roots during core build-up. This treatment, involving a tooth/restoration monoblock with SDR® Plus composite and crown using only adhesive techniques, provides for outstanding biomechanical and aesthetic results.
For more information or to request a demo, please contact your local Dentsply Sirona representative.
Fig. 3: Application of the etch&rinse adhesive Prime&Bond Universal™
Fig. 4: First layer of SDR® Plus was placed at the cavity bottom. SDR® Plus self-levels within a few seconds and can be applied to 4mm.
Fig. 5: SDR® Plus first increment was light-cured for 20 sec, before a second layer of SDR® Plus was placed and light-cured.
Fig. 6: View of the tooth – with the SDR® Plus core prepared for crown seating..
Fig. 7: Impression taking with Aquasil® Ultra Putty soft and Aquasil® Ultra Light LV.
Fig. 8: The ceramic crown was etched with hydrofluoric acid.
Fig. 9: Calibra® Silane was applied and dried.
Fig. 10: After having etched tooth surfaces, Prime&Bond® universal was applied and dried.
Fig. 11: Before seating the crown, a homogeneous and thin film of Calibra® Automix was placed on the inner surfaces of the crown.
Fig. 12: The crown was light-cured from each side.
By supplying innovative equipment, Dentsply Sirona International Special Clinic Solutions (ISCS) empowers dental professional to provide better dental care...
In this year marking the 125th anniversary of Wilhelm Conrad Röntgen’s discovery of the first X-ray image, Dentsply Sirona has launched its new ...
Dental Tribune Middle East & Africa spoke with Rajender Kumar, general manager for the Middle East and North Africa (MENA) at Dentsply Sirona, on ...
A 43 year old female came to my practice with a history of non-attendance. She was concerned about generalised sensitivity with her heavily-restored ...
The configuration of post-endodontic treatment cavities is typically deep. If the surrounding tooth structure is still intact, there will be a high C-factor...
For the very first time the International Special Clinic Solutions (ISCS) team at Dentsply Sirona brought to life a major project at a Swiss university. The...
Adjacent teeth damaged by dental bur
Dentsply Sirona starts 2022 with an impressive milestone: the 75,000th Heliodent Plus left the production site in Bensheim, Germany. The intraoral X-ray ...
Dentsply Sirona is expanding its range of zirconia blanks to include another multilayer disc with an inner color gradient: The new hybrid zirconia Cercon ht...
Almost 432,000 dental professionals have benefitted from clinical education and training
Live webinar
Wed. 6 May 2026
9:00 pm UAE (Dubai)
Live webinar
Mon. 11 May 2026
8:00 pm UAE (Dubai)
Live webinar
Wed. 24 June 2026
8:30 pm UAE (Dubai)
Dr. med. dent. Britta Hahn
Live webinar
Mon. 6 July 2026
8:00 pm UAE (Dubai)
Live webinar
Mon. 30 November 2026
9:00 pm UAE (Dubai)
To post a reply please login or register