CEREC Primemill, Dentsply Sirona’s new milling machine, has taken chairside dental restorations to the next level. Thanks to its state-of-the- art technology, a wide range of restorations can now be manufactured faster, using a large variety of materials with results that are very precise and particularly easy to achieve. Josef Kunkela, DMD, PhD, an innovative and renowned dentist and founder of the Kunkela Academy in the Czech Republic, has offered chairside restorations in his practice for the past 13 years.
As a clinical tester for Dentsply Sirona, he had the opportunity to comprehensively evaluate the new milling machine. The following is a description of his first experiences with CEREC Primemill based on a patient case.
I have two essential requirements for digital restorative dentistry: I want to satisfy my patients to the best of my ability for example by producing accurately fitting and very esthetic restorations. I also want to retain complete control over the workflow. This is exactly what CEREC has offered me for 13 years. It's not just about switching from conventional to digital impression taking, it's about the entire process. With the right work-flow, I can work very efficiently. This is where CEREC Primemill takes us to a new level. It is a machine that is simple to operate, works with a really fascinating speed and yields high-quality results.
As a Beta tester of CEREC Primemill, I had the opportunity to follow the development process. When this milling machine was set up in my practice, I immediately noticed the new touch interface. In my opinion, it is a great feature to get information about milling cycles and the right instrument recommendation for every procedure.
The second striking point is that the machine works very quietly and above all quickly. CEREC Primemill only takes approximately five min-utes using Super Fast mode to fabricate a zirconia crown. In my practice, the assistant takes over the first scan with the new CEREC Primescan. After I have examined the patient and made the therapy decision (which restoration, which shade), the assistant can prepare the CEREC Primemill. Meanwhile, I prepare the teeth to be restored and take the digital impression with CEREC Primescan. The fabrication process then starts directly after the design of the restoration, which is carried out by a dental technician in my affiliated practice laboratory. I can fully concentrate on my work with the patient and on his dental situation. This is efficient and very important for me. Of course, a perfect workflow also requires the right quality. How useful is it to be finished with everything in the shortest possible time if the restoration does not fit exactly or is visually unattractive? This is where CEREC Primemill once again offers impressive results. The surface of the materials is extremely smooth and the margins are very clearly defined.
From a clinical point of view, the following aspects convince me above all else about CEREC: The entire scanning process, including bite registration and preparation control, is very simple. In addition, there are the advantages of the initial scan: catalogue of beautiful natural smile, recycle patient smile, family cross copy smile, gingiva mask over design proposal model, index for direct restorations. If you are going to fabricate a direct restoration of broken incisal edge or corner and if you would like to use layering technique, you benefit from having scanned the initial situation before and from having made a silicone index according to the 3D printed model of patient's natural dentition. And there is greater patient convenience because of the reduction of appointments for treatment and temporary restorations. From an organizational and economic point of view, the efficient workflow, the reduced number of appointments and the ability to delegate many work steps are particularly noteworthy. My experience shows that CEREC begins to pay off at the reception desk when a well- trained assistant plans the appointments and can explain the advantages of this treatment method to the patient.
The most important thing is that CEREC Primescan and CEREC Primemill work together to create a great setup for everyday restorative dentistry. The CEREC system is exceptionally versatile and allows us to freely scan, design and switch from laboratory to chairside software according to our requirements and the daily needs for different material choices and workflows. The following case illustrates this.
Fig. 1: Initial situation: The patient wants to have an esthetic solution for her diastema.
Fig. 2: This is the natural structure of the teeth we wanted to adapt in the final restorations.
Fig. 3: As there are different methods of copying natural teeth shapes, we decided to categorize them into these three categories of Biocopy.
Fig. 4: Face-Scan for setting up the occlusal plane and the patient’s midline.
Fig. 5: Mockup-design of the veneers in the inLab SW 19.
Fig. 6: Try-in of the milled mockup-veneers.
Fig. 7: Export of the data into the CEREC SW 5.1.1 and final design of the veneers.
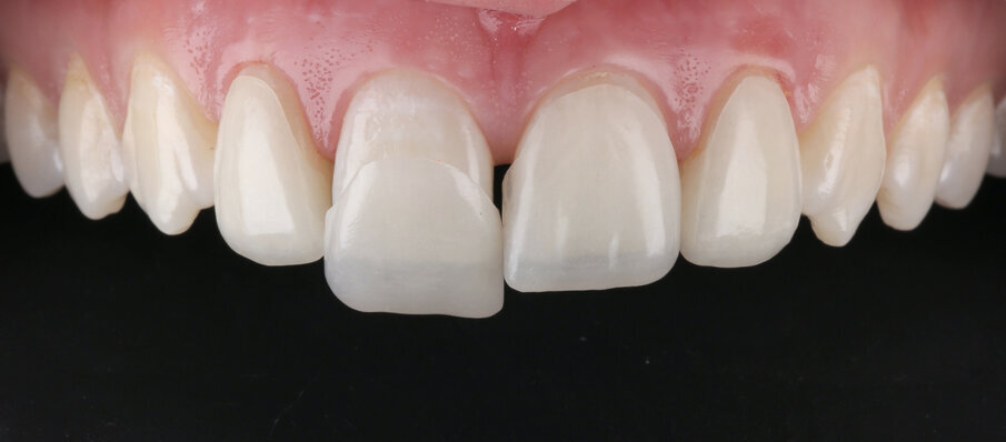
Fig. 9: Milled veneer in detail.
Fig. 10: Inserting the veneers using rubber dam for perfectly dry luting surface.
Fig. 11: Close-up of the veneer surface which shows the good adaption of the natural surface of the teeth.
Fig. 12: Final situation – the new smile.
Case study
A 23-year-old female patient came to my practice and asked for an esthetic solution to her diastema and tremata. The challenge was to preserve the natural surface structure as much as possible. In this case we used the so-called Biocopy Stretch Technique. It is a fairly simple technique that uses the scanned anatomy to create a larger version of the original while maintaining anatomical accuracy. It is essential that the scanned anatomy is used for the restorations that are to be fabricated. At the same time, it is possible to build a custom tooth library in this way. This can be used for future restorations. This initial scan also offers the possibility to use the gingival mask as a reference for the emergence profile when designing anterior restorations.
With regard to the patient's youth, we opted for non-prep veneers for both the central and lateral anterior teeth. We used the initial scan to make a mockup of the planned veneers in order to get a better idea of the final treatment result. We sent this scan via the Case Connect Center to our own laboratory where it was processed in the inLab software 19. To further modify the initial proposal, we used the aforementioned Biocopy Stretch Technique. Subsequently, the virtual articulator was used to ensure function in all jaw movements (protrusive and laterotrusive). The mockup was then milled from PMMA in an MC X5 (Dentsply Sirona). I prefer this method to others because its distinct edge sharpness helps to avoid undercuts and transitions in the final restorations, especially laterally. The PMMA veneers were then temporarily fixed with a small amount of a flowable composite.
A few days later, the patient returned to the practice. Depending on the degree of satisfaction, the veneers are either reshaped or used directly as a template for the final restoration. In this case everything fit perfectly. We then imported the data seamlessly from the inLab software into the CEREC software in dxd-format. In the CEREC software, we simply changed the material setting to composite block and then fabricated the veneers in the new CEREC Primemill. In doing so, we were able to achieve a high level of precision. We used the fine mode because it is ideally suited for the production of ultra-thin veneers.
In order to maintain the high transparency of her natural teeth, the milled veneers were slightly cut back at the incisal edge and constructed with the same restoration material as the blocks used for milling. We then polished the surface in a two-stage system and bonded it adhesively under a rubber dam with composite. The result shows very natural anatomy of the anterior teeth.
To sum it up: The CEREC system is exceptionally versatile in allowing us to freely scan, design and switch from lab side to chairside software and then mill or grind a restoration in the extraordinarily precise and accurate CEREC Primemill. Capturing the patient’s initial situation, position, shape and surface structure for potential future reference, which can also serve as donor anatomies for other patients, will serve more and more purposes not just in dental prosthetics but also for the manufacturing of 3D models and silicone keys, which are then used for layering restorative materials, digital implantology or dentures.
CEREC takes another big step forward with the introduction of CEREC Primemill, a brand-new grinding and milling unit from Dentsply Sirona.
Dentsply Sirona is announcing its latest upgrade for both Connect and CEREC Software, giving users new functionalities and even better performance*. Patient...
Dentsply Sirona is announcing its latest upgrade for both Connect and CEREC Software, giving users new functionalities and even better performance*. Patient...
The market launch of CEREC in 1985 marked the beginning of digitalisation in dentistry. Dentsply Sirona was the first company in the world to recognize the ...
At a practice in which digital technologies have been prioritized right from the start, new devices are a real pleasure, rather than a duty. That's why Dr. ...
Interview with Dr. Khaled Ibrahim Mattar
Prosthodontist and Operational Manager Andalusia Dental Center, Jeddah, Saudi Arabia
A 43 year old female came to my practice with a history of non-attendance. She was concerned about generalised sensitivity with her heavily-restored ...
The redesigned user interface of the CEREC software from Dentsply Sirona won a coveted Red Dot Award for Brands and Communication Design in November. The ...
Marking the first anniversary of its sustainability strategy ‘BEYOND: Taking Action for a Brighter World’, Dentsply Sirona launches its Sustainability ...
The SphereTEC revolution continues…
Live webinar
Wed. 6 May 2026
9:00 pm UAE (Dubai)
Live webinar
Mon. 11 May 2026
8:00 pm UAE (Dubai)
Live webinar
Wed. 24 June 2026
8:30 pm UAE (Dubai)
Dr. med. dent. Britta Hahn
Live webinar
Mon. 6 July 2026
8:00 pm UAE (Dubai)
Live webinar
Mon. 30 November 2026
9:00 pm UAE (Dubai)
To post a reply please login or register