At a practice in which digital technologies have been prioritized right from the start, new devices are a real pleasure, rather than a duty. That's why Dr. Bernhild-Elke Stamnitz, from Langen, Germany was delighted to be one of the first dentists to be able to use CEREC Primescan, the new intraoral scanner from Dentsply Sirona, for her daily work.
As a CEREC coach, she is very familiar with digital impressioning, but she is convinced, from her first experiences with the device, that CEREC Primescan represents a great advance in quality.
"I simply love new technologies," explains Dr. Bernhild-Elke Stamnitz. She has her own fully digital practice, which she has been running in Langen since 2004. During her studies in Heidelberg, she had her first encounters with CAD/CAM technologies in dentistry. "At the time, it was a long way from being perfect, but in my opinion, the idea behind it was ground-breaking," she says. "Whereas, in the early days of digital impressioning, we still asked ourselves which indications it could really be used for, today we ask ourselves: Where can't it be used?"
For Dr. Stamnitz, the advantages are obvious. "First of all, it's simply faster," she explains. "One only has to consider the various steps of the process: lay out spoons of various sizes,and try them for size. Afterwards, all of them have to be prepared for use. Then the material for the impressioning has to be selected, and the first time it might not work perfectly, so you have to repeat some steps. All of that can be omitted if you use digital impressioning." The dentist from Langen also sees a path to more sustainability in digital impressioning because nothing has to be thrown away afterwards, the need to store materials is reduced, and – most importantly for Dr. Stamnitz – the focus is centered more on the patient. "Digital technologies are also a great communication tool. During digital impressioning, the patient experiences what's going on, they can see the situation in their mouth on the screen and they are far better able to understand where and why the treatment is necessary."
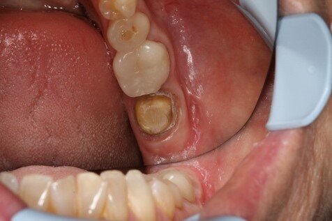
Initial situation, tooth 37
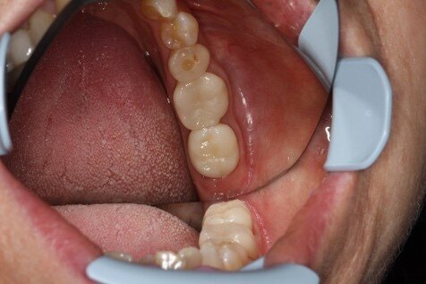
Scan of lower jaw, with prepared tooth 37
The preparation margin is automatically delineated by the software, but, if desired, it can also be adjusted manually
The user interface for designing the restoration, which can be operated via the touch screen
The user interface for the beginning of the restoration of the crown
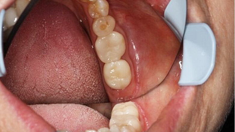
Final situation for tooth 37
"Very Good" becomes "Virtually Perfect"
Once she had recognized it as correct and appropriate for her practice, Dr. Stamnitz could no longer imagine doing her daily work without digital impressioning. In her opinion, the technology in this area has developed enormously in recent years. On the one hand, this is thanks to the software updates. The calculation of the 3-D models, the quality of the first suggestions and the accuracy of the fit have improved constantly. On the other hand, CEREC Primescan's intraoral scanner, which has now entered the marketplace, speeds up and simplifies the process noticeably, and produces results that have hardly been possible to achieve until now. "Impressioning was already really good before, but now, it is simply better."
In her opinion, this can be concretized by several points: With CEREC Primescan, scans can be done in situations where the patient shows signs of periodontally damaged teeth, which are characterized by long crowns and exposed areas of roots. If subgingival preparations need to be made, the scanner can also reach those positions. "Until now, that has been an issue that many people have raised as an argument against digital impressioning," says the CAD/CAM expert. "Places that are difficult to reach can easily be captured with Primescan, without having to make too much effort with the scanner. That really is a great advantage." Another important improvement is the representation of the margins of the prosthesis. This is very important for the further processing of the scan, because on the one hand, it simplifies the further process of design and fabrication when manufacturing the restoration in the practice. On the other hand, the scan reliably delivers all the information that the technician requires. They can work on the model, and they can set the occlusion and articulation with ease. Dr. Stamnitz mostly works chairside ("I make up to three teeth directly beside the chair"), but she also hands over larger jobs to her dental technician in the in-practice laboratory. "Overall, it is a very useful concept for the practice," says Dr. Stamnitz. "Digital impressioning makes sense, from both a clinical and an economical perspective," she explains. "But the additional advantage for the patients, who really appreciate the "digital experience", and talk about it to others, is just as important."
CEREC Primescan – a practical test
A case history demonstrates how CEREC Primescan proves its worth in everyday practice: A patient came to the practice with an inadequate crown, with secondary caries, in position 37. After excavation, a new CEREC crown was to be mounted. In order to do so, the new acquisition center, CEREC Primescan AC, with its significantly larger, tiltable touch screen, was first disinfected, quickly and thoroughly. Thanks to the seamless surfaces, it is possible to do so, quickly and simply, at any time. Before beginning with the scans, the patient data was called up in CEREC Primescan AC, and a new case was created. Overall, the scanner was used three times during treatment: after the preparation of the lower dental arch with tooth 37, for the scan of the opposing dental arch and for the scan of the buccal bite on both sides. All of that could be delegated to an assistant, but the experienced CEREC user prefers to do it by herself: "I am interested in this technology, and – I'll be completely honest – scanning is so much fun." After the removal of the inadequate crown and the final preparation, it was time to use the CEREC Primescan. Dr. Stamnitz describes it as follows: "As a long-time user of a CEREC Omnicam, I realized immediately that CEREC Primescan felt different in my hand. The scanner is even better balanced now. The actual scanning is quick and easy – partially due to the fact that I don't have to consider specific scanning angles or scan procedures. It all went intuitively and fluidly. The full dental arch scan was completed in less than a minute, which certainly cannot be taken for granted. What made it really special, was that the patient was immediately able to see the results on the monitor, with me. The scan was converted into a 3-D image immediately. Compared to previous scanners, I noticed immediately that it is also able to scan other materials, e.g. gold crowns. Therefore, no information on the adjacent teeth or antagonists was lost. I consider that to be real progress."
After the scan, the software automatically delineates the preparation margin. If so desired, they can be adjusted manually. "I find that to be a great advantage," says the digital expert, "because that way, I can decide for myself, every time, whether I want to accept the suggestion – which, by the way, I generally do with a clear conscience." It is operated via the touch screen which replaces the trackball. A tool that many users, including Dr. Stamnitz, wished for. Finally, the CEREC Software 5 made an initial suggestion. "I also always look at this very carefully," she says. "The software can do a lot. I am often surprised at how good the suggestions are. Mostly, as in this case, I am very satisfied after just a few minor adjustments."
The software learns together with the user
The reason for the significantly improved initial suggestions with the CEREC Software 5 is the use of artificial intelligence. With immediate effect, the new generation of software learns, together with the user, so that it is able to create even better initial suggestions for future versions. Not only are the initial suggestions for the crown improved by artificial intelligence, the entire workflow is supported by the software, in many areas. In this way, the indications for the restoration are automatically recognized, and the preparation margin is delineated. The axis for the model is also set fully automatically.
Dr. Stamnitz is fascinated by working directly on the screen: "The workflow is very simple, and thanks to the operation via the touch screen, I can maintain my concentration. I can keep my eyes on the screen constantly." During the designing and the preparations for making the crown, the patient was there, and she could watch her dentist at work. "In cases like this, the treatment experience is always something very special for my patients," Dr. Stamnitz remarks. "They are included at all times, and they are able to ask questions and they can experience, live, how the crown is made." This one was milled from a Celtra Duo block, a zirconia-reinforced lithium silicate with excellent aesthetic properties and a high degree of stability. The crown was ready after just 11 minutes. Even during fitting, it was evident that it was a perfect fit. The crown was individualized and glazed with color and glazing material. Then it was cemented into the patient's mouth with a high-strength, dual cure composite cement adhesive (Calibra ceram). In this case, the overall time required for the treatment was about 90 minutes. This proved to be particularly advantageous to the patient, who was pressed for time.
Better quality in less time
The accuracy of the scan, and the speed of the data acquisition and processing obviously have an effect on the end result – to an experienced user, this becomes apparent immediately. The structure of the crown, especially on the edges, is highly dependent on the quality of the impression – and this is where it pays to use CEREC Primescan. Dr. Stamnitz: "Thanks to the new CEREC Software 5, the ground or milled restorations are worked even more finely and in more detail. And all of this in an even shorter process, from scan to insertion. I spend the time I save on the entire process on my patients. We gain the time to build up a good relationship with them. We are not simply treating a tooth. We are dealing with a patient every time. That's exactly who should be the centre of focus. Because there is more to the lovely smile we help them to achieve, than just attractive, healthy teeth."
Dentsply Sirona is announcing its latest upgrade for both Connect and CEREC Software, giving users new functionalities and even better performance*. Patient...
Dentsply Sirona is announcing its latest upgrade for both Connect and CEREC Software, giving users new functionalities and even better performance*. Patient...
Primescan, the intraoral scanner from Dentsply Sirona, ensures high-quality digital impressions and exceeds minimum recommended hygiene guidelines. It is ...
Dr Dobrina Mollova from Dental Tribune Middle East & Africa interviewed Dr Frank Thiel, Vice President Global Research and Development CAD/CAM and ...
Innovation requires commitment to ambition: Primescan sets new standards in dental technology, making scanning more accurate, faster and easier than ever. ...
Interview with Dr. Khaled Ibrahim Mattar
Prosthodontist and Operational Manager Andalusia Dental Center, Jeddah, Saudi Arabia
Digital impressions and outstanding design
CEREC Primemill, Dentsply Sirona’s new milling machine, has taken chairside dental restorations to the next level. Thanks to its state-of-the- art ...
Over 35 years ago, a new invention revolutionized dentistry for years to come: CEREC. The inventor of this method for ceramic restorations, Prof. em. Dr. ...
Dentsply Sirona is the world’s largest manufacturer of professional dental products and technologies. The company has been undergoing major restructuring,...
Live webinar
Wed. 6 May 2026
9:00 pm UAE (Dubai)
Live webinar
Mon. 11 May 2026
8:00 pm UAE (Dubai)
Live webinar
Wed. 24 June 2026
8:30 pm UAE (Dubai)
Dr. med. dent. Britta Hahn
Live webinar
Mon. 6 July 2026
8:00 pm UAE (Dubai)
Live webinar
Mon. 30 November 2026
9:00 pm UAE (Dubai)
To post a reply please login or register