A case study by Dr. Carlos Eduardo Sabrosa, DDS, MSD, DScD featuring 3M™ RelyX™ Ultimate Adhesive Resin Cement.
3M, Elipar, Protemp and RelyX are trademarks of 3M or 3M Deutschland GmbH. Used under license in Canada. All other trademarks are owned by other companies.
Fig. 1: Initial Situation with a molar tooth in need of endodontic treatment and subsequent crown placement.
Fig. 3: Temporization with 3M™ Protemp™ 4 Temporization Material.
Fig. 2: Tooth preparation after post placement and core build up with a low shrink composite. Retraction in place. Impression with polyether impression materials.
Fig. 4: Fabrication of Lithium disilicate crown (IPS e.max® CAD).
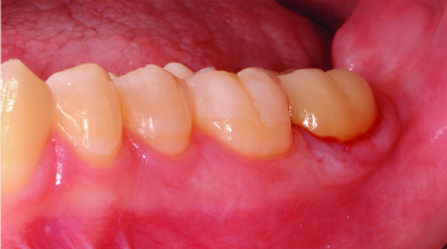
Fig. 5: Tooth preparation after removal of the temporary restoration and mechanical cleaning of the tooth (e.g. pumice paste). Note the healthy gingiva.
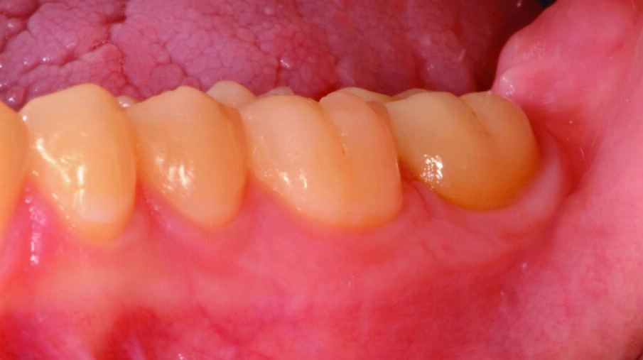
Fig. 6: Tooth preparation after rubber dam placement for isolation.
Fig. 7: Apply 3M™ Single Bond Universal Adhesive to the bonding surface rubbing it in for 20 seconds.
Fig. 8: Gently air thin adhesive with oil-free air for five seconds until the solvent is evaporated and no more ripples are observed.
Fig. 9: Etch the crown with hydrofluoric acid after try in and rinse with water. Air dry with oil-free air.
Fig. 11: Dispense 3M™ RelyX™ Ultimate Adhesive Resin Cement directly into the crown. Firmly seat the crown under finger pressure.
Fig. 12: Tack cure for 1-2 seconds.(!) Tip: Do not exceed recommended tack cure time, otherwise clean-up will be difficult. For a controlled time, use 3M™ Elipar™ S10 LED Curing Light or 3M™ Elipar™ DeepCure-S LED Curing Light tack curing function.
Fig. 13: Remove excess cement with a scaler. (!)Tip: Hold the crown in place.
Fig. 14: Light cure for 20 seconds per surface. Finish and polish as needed.
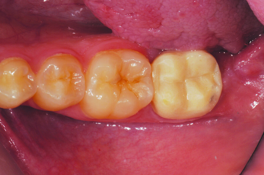
Fig. 15: Immediate final clinical situation.
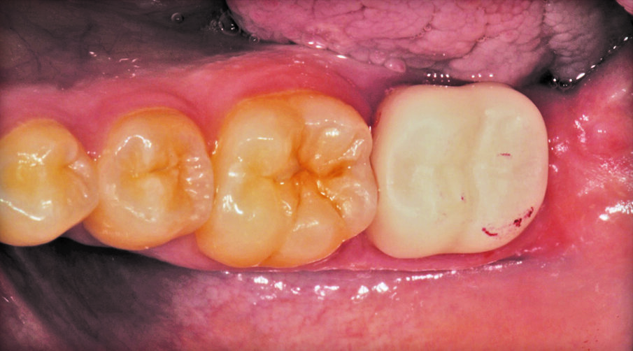
Fig. 16: Beautifully healed gingiva after three months.
© 3M 2018. All rights reserved. Dr. Sabrosa has received an honorarium from 3M Oral Care.
Indirect restorative procedures can be time-consuming and complicated: many different processes from impression taking to cementation are carried out in the...
3M Oral Care participated in the Saudi International Dental Conference from 9-11 Jan 2017 held at the Riyadh International Convention and Exhibition Center....
A case study by Dr. Carlos Eduardo Sabrosa, DDS, MSD, DScD featuring 3M™ RelyX™ Veneer Cement and 3M™ RelyX™ Unicem Aplicap™ Self-Adhesive Resin ...
How much time and effort do you spend creating beautiful smiles? Whether you currently use a rubberized finishing and polishing system or an intraoral ...
Dr. Marcin Krupinski, Dr. Ektor Grammatopoulos
Dr. Marcin Krupinski, Dr. Ektor Grammatopoulos
To post a reply please login or register