Minimally Invasive Cosmetic Dentistry (MiCD) is gaining popularity in routine clinical practice as it aims to provide a holistic patient-centric treatment approach with a focus on preserving sound tooth structure. Recent advances in composite resin technology have paved the way for dentists to further expand on the clinical applications of direct restorative materials to adopt a more conservative treatment plan while addressing the patients’ needs and meeting expectations.
The incorporation of an operative microscope in my routine clinical practice has helped revolutionize the standard of care provided to my patients. The magnification and increased visibility obtained with operative microscopes have pushed me to enhance my skills and achieve a higher level of aesthetics and function with direct restorations.
The clinical case shared below highlights, how the MiCD concept and treatment approach can be successfully adopted to create natural life-like restorations using the “ONE layering Technique” to create individualized smile enhancements based on the patient’s needs and desires.
Patient case
A 35-year-old male patient visited the clinic requesting a smile enhancement. As a MiCD clinical trainer before making a clinical diagnosis, I usually spend time getting to know my patient's personality, expectations, habits, and behaviour as this provides a deeper understanding to customize the most suitable treatment plan for the patient. This patient is a highly qualified dental technician with a demanding work schedule therefore his expectations were to rejuvenate his smile within a short period of time while preserving his natural tooth structure (less biological cost).
After performing a thorough intraoral examination and careful clinical evaluation, a history of diastema closure, discoloured composite fillings in both lateral incisors and one protruded central incisor was identified. As the patient was well informed on dental procedures and possible restorative options he requested for modification of the central incisors to appear longer and more symmetrical with replacement of the old restoration on both lateral incisors.
In addition to obtaining all the patient information, clinical evaluation, analysis and treatment planning it is very important to understand the new advances in dental materials as direct restorative options have become more mainstream for a wider range of clinical applications today, enabling dentists like me to explore more conservative treatment approaches while meeting patient needs.
After checking the patient's occlusion we decided to proceed with direct composite veneers for the two centrals with 75% width to high ratio as the patient requested long centrals and replacement of the old composite fillings on both lateral incisors with the Shofu range of Beautifil bioactive composites containing the clinically proven benefits of its patented S-PRG filler technology.
Fig. 1a: Intraoral view before treatment.
Fig. 1b: Intraoral view after smile enhancement.
Fig. 1c: Patient’s smile after placing direct composite restorations on the upper central and lateral incisors.
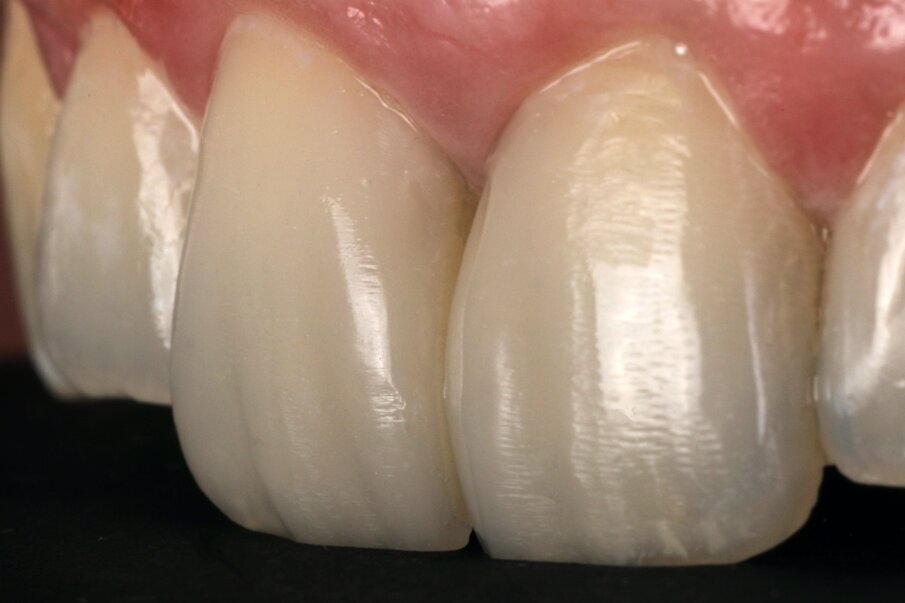
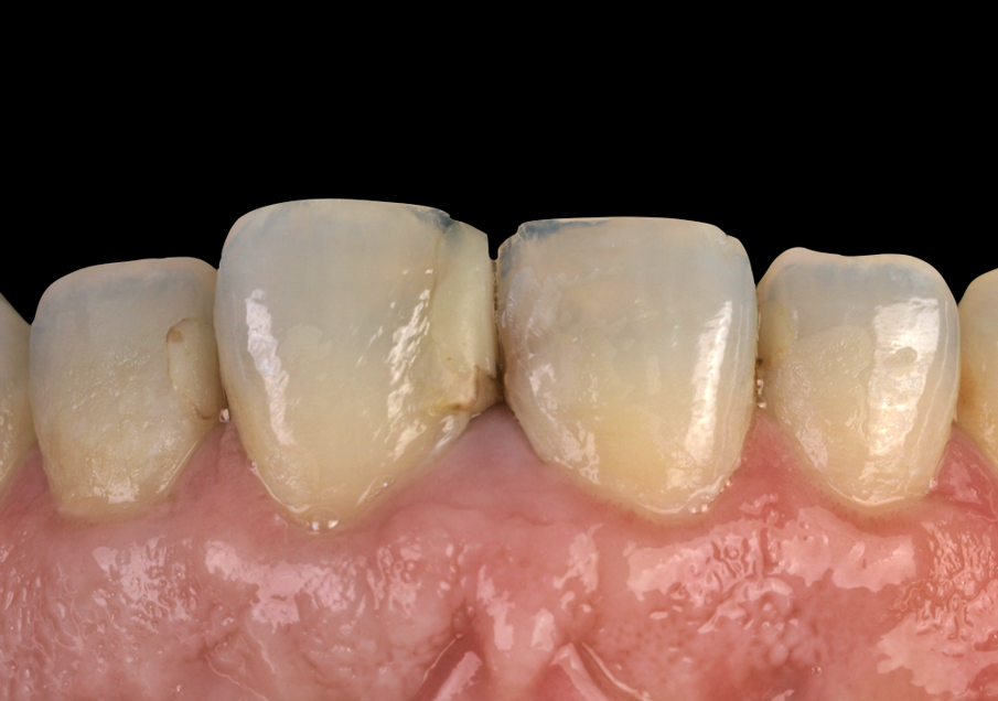
Fig. 2: Asymmetrical central incisors with old restorations on central and lateral incisors, tooth # 11,12 & 21, 22.
Fig. 3: After removal of old composite restorations on tooth #11 & 21 and minimal tooth preparation for direct veneers with Shofu Diamond Points.
Fig. 4: Total etching completed with 37% Phosphoric acid.
Fig. 5: Application of 7th generation Bonding Agent on the entire surface of the prepared tooth #11 & 21.
Fig. 6: Free hand palatal shell created with Beautifil II Enamel shade T (Translucent).
Fig. 7: Sectional matrix band placed and stabilized with Beautifil II Enamel shade HVT (High Value Translucent).
Fig. 8: Build-up of proximal area and establishing contact with Beautifil II Enamel shade HVT.
Fig. 9: Mamelons created with deep dentin opaque shade of Beautifil II LS shade A2O.
Fig. 10: Build-up of dentin layer with Beautifil II LS shade A2.
Fig. 11: Characterization of incisal area with Lite Art internal stains # Yellow & White.
Fig. 12: Build-up of entire enamel layer with Beautifil II Enamel shade HVT.
Fig. 13: Finishing and polishing protocol with a selection of Fine Diamond Points for anatomical contouring, Super-Snap Xtreme purple disk for fine finishing , OneGloss 2in1 Polisher for surface texture, Super Snap-Xtreme Green and Red disks for polishing.
Fig. 14: Initial finishing and polishing after build-up of the direct veneers on tooth #11, 21.
Fig. 15: Final polishing and super polishing with SuperBuff impregnated polishers completed after 7 days during the recall visit.
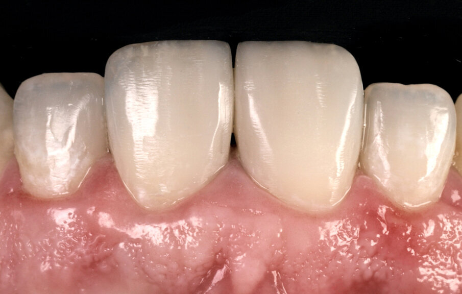
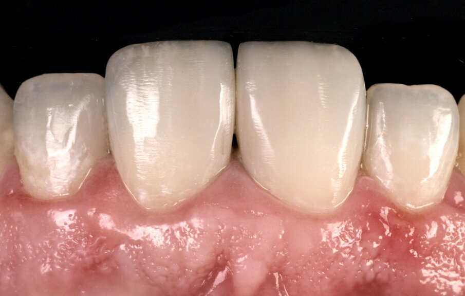
Fig. 16: Direct Aesthetic veneer restorations completed on tooth 11 & 21.
Fig. 17a & 17b: Old composite fillings on tooth # 12 & 22 were replaced during the recall visit with Class III Direct composite restorations using the same layering technique with the Beautifil range of bioactive composites.
Fig. 18: Final restorations on tooth 11,12,21 & 22 completed with bioactive direct composites that helped enhance the patients smile and meet his expectations.
Materials and restorative process
Preparation
Shofu Diamond points
Restoration
- Palatal shell – Beautifil II Enamel #T (Translucent)
- Mamelon and dentin layer – Beautifil II LS #A2O, #A2
- Proximal area and Enamel layer – #HVT (High Value Translucent)
- Internal Characterization – Lite Art stains # White & Yellow
- Anterior Matrix – sectional matrix band
Finish and polish
- Anatomical contouring and finishing – Fine Diamond Point
- Fine finishing – Super – Snap Disks (Purple)
- Surface texture and pre-polishing – One gloss
- Polishing – Super-Snap X-Treme Disks (Green, Pink)
- Super Polishing – Super Buff
Magnification
Zumax microscope
Camera – Canon 5D with 100 mm macro lens
Conclusion
MiCD treatment concept and protocols are easy to understand and immediately adopt into clinical practice. As a MiCD clinical trainer, I have been able to successfully incorporate this patient-centric conservative treatment approach routinely in my practice where we focus on the patient needs and evaluate all treatment options with minimal biological cost, select the most suitable restorative materials and obtain the patient's commitment to maintaining the restorations with good oral hygiene and regular recall visits. As clinicians, our aim is to help patients achieve their desired smile while preserving natural tooth structure taking into consideration time and the cost involved.
The Beautifil range of Shofu bioactive direct composites used in this clinical case helps to showcase that material selection plays an important role to help achieve predictable direct restorations with life-like aesthetics that meet the patient's expectations. The final step to achieving long-term success with direct restorations lies in the finishing and polishing protocol where attention to detail with a step-by-step approach helps to obtain enamel-like lustre optimising the aesthetic and functional outcomes.
Composite Artistry has become an important element of direct restorative treatment in dental practice today enabling clinicians to create life-like ...
Bioactive direct composite resin materials like the next generation high strength injectables and low shrinkage packable composites, when used with advanced...
"I can`t afford e.max veneers, do you have something more affordable?" is a question often encountered in clinical practice today!
Dentists today are spoilt for choice with a variety of direct and indirect treatment options for aesthetic restorations in the anterior zone.
Shofu’s Gen 4 smart digital dental camera is developed to shoot fast, predictable and consistent clinical photographs for everyday dentistry.
Przemyslaw Grodecki DDS, PhD
Przemyslaw Grodecki DDS, PhD
Przemyslaw Grodecki DDS, PhD
To post a reply please login or register