Primary molar dental caries in childhood is a disease of epidemic proportions that affects all modern societies. Despite a World Health Organization (WHO) pledge in 1981 to render 50% of 5-6 year old children caries free by 2000 (1), many developing countries remained off target to date.
In the UAE, a survey showed that less than 18% of 5 year old children were caries-free (2). In comparison, 45% of 6 year-old and 69% of 3 year-old children in Sweden were noted to be caries-free (3, 4) and recent surveys in England showed that 88% of 3 year old were free from obvious caries (5). The size of decay as a problem in a society is often expressed as “dmft” (decayed, missing & filled teeth) and is well established as the key measure of caries experience in dental epidemiology. The UAE regions dmft index ranged from 3.8 in Ajman to 6.6 in Dubai (2) whilst the England dmft figure average was a mere 0.48 (5). This highlights countries/social inequalities where primary dental caries is concerned.
Conventional management of the carious primary molar
Primary tooth decay management represents a challenge for those who dentally care for children, whether they are general dental practitioners (GDPs) or specialists in paediatric dentistry. For the past 5 decades, the dental literature in the USA and Europe had advocated treating the deep carious primary molar in using the conventional “drill and fill” philosophy. That is, give local anaesthesia (LA) to the child by injection to anaesthetise the tooth, drill the carious tissue out (often after placing a rubber dam-Figure 1) using a high and slow speed drill (Figure 2), restore the primary tooth with a restorative material (often a preformed stainless steel crown or SSC) after carrying out pulp therapy (Figure 3). Although aesthetic crowns are available for primary teeth, they are very expensive and the SSC remains the crown of choice for the carious primary molar (6,7).
This relatively complex treatment is demanding for all parties involved; the dentist, the parent but especially the child (8). Even in very cooperative children the skills of a specialist paediatric dentist are often required to achieve such treatment. It is well known that the larger proportion of child patients are seen in the general dental practice (GDP) services rather than secondary dental services (8). Whilst there may be GDPs with a special interest in children’s dentistry, many find managing such young children a major challenge, and many patients go untreated (8). Whilst all paediatric dentists agree that SSCs are the restorations of choice for multi surface caries in the primary molars (7), the conventional doctrine of their placement (i.e; using LA and drills) has been challenged by less invasive techniques such as the “biological approach” which is embodied by the “ Hall technique” (8-10) .
The Hall Technique: “Sealing in” the caries
In 2007 a new technique took the paediatric dentistry world by storm. It recommended a simple way in managing early enamel and dentinal decay in the primary molar using a SSC; it was named the Hall technique (8). This technique involved no local anaesthesia, no rubber dam, no drilling and took place in a child friendly play manner. In essence there was no dental caries removal at all from the carious lesion. The technique relied on sealing the carious lesion in situ cutting off its supply of sugary substrate, thus altering the lesion’s bacterial plaque ultimately leading to the arrest of the caries process in the tooth.
The Hall technique involves the following simple steps that are usually carried out over a couple of 5 minute appointments
Figure 1: The conventional specialist approach: the child having had local anaesthesia and rubber dam placement in preparation for the restoration of 55 which had deep caries into the pulp
Img 1
Figures 3 (a, b, c, d): The conventional specialist paediatric dentist approach: The SSC is sized up and trialed (Figure 3a), The rubber dam is removed and the SSC is cemented with a glass ionomer (Figure 3b). Figures (3 c & d) show upper and lower arches restored conventionally with SSCs using LA, rubber dam & high speed drills. Compare these with the teeth in Figure 10
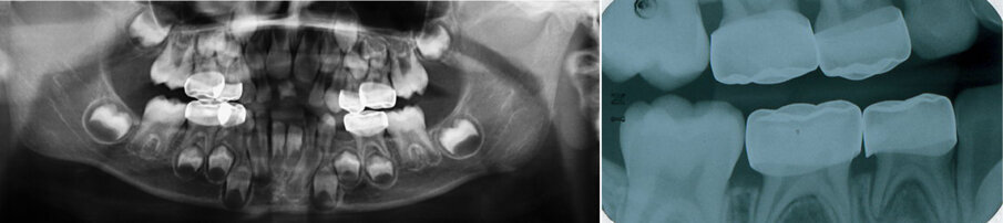
Figures 4 (a) and 4 (b): The Hall technique: Case selection: Figure 4a: Right Bitewing radiograph shows dentinal caries in teeth 53, 54, 55, 85, 84. Tooth 54 will be used as an example here (All the Es and Ds eventually received SSC using the hall technique). Figure 4b: The same lesion of 54, seen in 4a, is not visible clinically.
Figure 5: The Hall Technique: tooth 54 (distal caries shadow obvious) with orthodontic separators mesially and distally. They are left in situ for 3-5 days
Figure 6: The Hall technique: tooth 54 with sufficient space after orthodontic separator removal
Figure 7: The Hall Technique: The patient bites on a cotton wool roll to allow the SSC to “snap” on the tooth number 54. A click is occasionally heard.
Figure 8: The Hall technique: Immediate post op: The SSC is fully cemented on tooth 54. The excess cement is removed. Some blanching is noticed buccally and palatally. This disappears within the hour.
Figure 9: The Hall Technique: One week later. The SSC is level with the occlusion. There is no tightness, blanching or pain.
Figure 10 (a&b). A patient treated by the author received 7 SSCs using the hall technique. No LA, rubber dam, caries removal or drills were used. They remained free from clinical and radiographic signs and symptoms of pain or sepsis. Compare these with figures 3 (c & d) . Tooth 74 was extracted as it was not restorable.
Figure 11 (a & b). The Hall technique: Figure (11a) shows an OPG radiograph taken at follow up for the same patient seen in Figure 10. There were no clinical or radiographic signs or symptoms of pulpal pathosis. Figure (11b) shows a right bitewing radiograph follow up of SSC using the Hall technique. It shows adequate coverage of the primary molars.
A - Hall technique:
Appointment 1:
1) Case selection: Diagnosing asymptomatic early enamel and dentine caries in a primary molar; clinically and radiographically (using bitewings). Bitewings may typically show approximal lesions that are not visible clinically but are diagnosed radiographically (Figures 4 a & b). There should be a clear radiolucent band between the carious lesion and pulp of the tooth intended to be restored with the SSC Hall technique. There should be no signs or symptoms of pulpal pathosis; the lesion should be detected prior to the development of symptoms (See Table 1).
2) Fitting orthodontic separators: Placement of two elastic orthodontic separators mesially and distally on tooth intended for restoration with a SSC Hall technique (see Figure 5)
B - Hall Technique:
Appointment 2:
1) Removal of separators: After 3-5 days after the first appointment, the patient returns for the removal of the orthodontic separators. Space is created mesially and distally that will negate the need for crown preparation (see Figure 6)
2) Stainless steel crown selection and placement: The patient is sat up in the supine position and the operator selects the correct SSC in terms of tooth number and size. After selecting the correct SSC, it is tried passively on the tooth to assure that it fits with gentle pressure applied to the SSC over the contact points but not completely through. For safety purposes the crown is stuck to the operator’s finger, while trying out the size, using an adhesive tape/elastoplast. The SSC should not be too loose or too tight. The crown should “spring back” from the contact points while trying it on the tooth at this stage. After crown selection, the crown should then be filled with a self curing glass ionomer cement and positioned over and on the tooth. The operator then digitally presses the crown through the contact points so that the crown flexibally “clicks” on the tooth and fits snugly. The patient is then asked to bite on a cotton wool roll to finish off its correct positioning (see Figure 7). The excess of the glass ionomer cement is wiped off. The crown should be level with the occlusal plane and blanching of the gingivae will be noticed buccally and palatally indicating an adequete seal (see Figure 8). The patient may feel a little tightness, however that and the gingival blanching disappear within an hour if not less (Figure 9). Equated to the tightness of a brand new pair of shoes around feet, it resolves spontaneously after a while. Occasionally the bite may be raised by a milimetre, however dento-alveolar compensations resolves this issue within a week or two.
Multiple SSCs using the Hall technique could be placed in one patient over several appointments without any local anaesthesia or drilling (see Figure 10). It is possible to place two SSC using the Hall technique in one appointment. This is possible in: a) contra-lateral primary molars in the same arch, for example placement of two SSC on upper Es (teeth 55 and 65) or lower Ds (74, 84). b) Diagonal teeth in opposing arches, for example, placement of SSCs on tooth 55 and 75, or placement of SSCs on 65 and 85.
C - Hall technique:
Follow up appointments:
All teeth treated with the Hall technique should be followed up clinically and radiographically (see Figure 11) following the same protocols as conventional treatments. The tooth should be assessed for pain, sinuses, swelling and radiographically for signs of interradicular radiolucency or root resorption.
Table 1. Indications and contra-indications of the Hall technique.
Discussion
The Hall technique was named after Dr Norna Hall, a Scottish dentist who worked as a salaried GDP in a remote high dental caries risk area (Scottish Western Isles) north west of the UK. As she faced a high proportion of children with dental caries (dmft of Scotland was around 2.54 at the time), and was not a specialist in paediatric dentistry, she thought “outside the box” and used SSCs to “seal in” dental caries with no preparation and no LA. This technique caught the attention of the team of paediatric dentists/clinical researchers at Dundee Dental School in Scotland (11). They took an interest in Dr Hall’s novel work (she had audited her own work) as they were facing very high levels of dental caries themselves. Subsequently a pilot trial by Evans et al was published online in 2000 (11). This prospective case controlled study assessed 49 patients who were fitted with SSC crowns using the Hall technique from the patient, caregiver and dentist point of view. It was deemed a success as the study reported very high levels of satisfaction. In addition, the team of Dundee Dental School researchers shared their findings with The British Society of Paediatric Dentistry UK national conference meeting in Edinburgh (UK) in the same year (2000) to the astonishment of its audience (the author of this paper was present that day and recalls the reaction!). Because the initial reaction to this technique by other paediatric dentists in the UK was profound (12), the team of Dundee University researchers (Innes et al) undertook it upon themselves to investigate this technique by employing the most robust methods of evidence- based dentistry; namely a prospective randomized controlled clinical trial and first published their results in 2007 (8). This study formed the pivotal event that made this technique a “school of thought” in paediatric dentistry by its own right. Because of its importance of this study, it will be discussed further below.
The 2007 study (8) was a prospective split mouth randomized control study that recruited 132 child patients aged between 3-10 years all of whom had two matched dental carious lesions. Each child acted as his/her own control. The two lesions each child had were similar to the lesions highlighted the in example given above (Figure 4a); there were no clinical or radiographic signs of pulpal pathosis. One lesion was randomly treated using the Hall technique and the other was randomly treated conventionally (mostly by glass ionomer cements). Seventeen GDPs treated these patients under the auspices of the paediatric dentistry team at Dundee University. The results were an outstanding success rate of 98% for the Hall SSC when compared to the control restorations 85% (in terms of major failures: pain due to pulptitis). The authors concluded that “The Hall Technique was preferred to conventional restorations by the majority of children, carers and GDPs. After two years, Hall PMCs showed more favourable outcomes for pulpal health and restoration longevity than conventional restorations. The Hall Technique appears to offer an effective treatment option for carious primary molar teeth”. In 2011, Innes et al published similar high success rates in the five year follow up the same study (9).
Reaction and response to the Hall Technique
There was a mixed international reaction to the development to the Hall technique in paediatric dentistry circles. For example, clinical researchers in Europe reported favourable results after clinically investigating the new method and comparing it with their set conventional techniques (13, 14) recommending the Hall technique as an acceptable method in treating primary molar caries. On the other hand, paediatric dentists in the North America initially received the Hall technique with deep skepticism. After a joint meeting between the American Academy of Pediatric Dentistry (AAPD) and the Royal College Surgeons of Edinburgh in 2010, where clinical methods employed in the USA and UK were compared, the discrepancy between advocates of the Hall technique and the conventional school of thought became apparent. The president of the AAPD stated that “while we may not have agreed with our British and Scottish colleagues on every approach we all agreed that we benefitted by seeing how others practice” (15). In line with this, the success of the Hall technique and its study design was questioned in 2012 by Nainar (16). The criticism centered on the control restorations used in the main 2007 study. They were not considered the gold standard restorations that paediatric dentists use in the USA; namely the conventional treatment modality outlined in Figures 1, 2 & 3 above (LA, rubber dam, high speed drill and SSCs). In addition, in vitro laboratory studies showed that SSC cemented using the Hall technique exhibited micro-leakage when using glass ionomer cements (17), however the latter study was not a clinical study and the relevance of it to what actually occurs in the mouth was not demonstrated. Finally, and most recently in December 2014, a landmark article was published in the USA supporting the use of the Hall technique in dental practice (18). This was a retrospective clinical study, where the authors found that 97% of SSCs placed with the Hall technique and 94 % of SSCs placed with the traditional technique were successful. This study confirmed that the Hall technique was similar in its successful outcomes to those SSCs placed conventionally.
This interesting debate within the paediatric dental circle is still ongoing even as this article is being written, and the debate is often as emotional as it is scientific. However, The Hall technique is now becoming more mainstream; it is now taught formally in the undergraduate curricula in 15 out of 16 dental schools in the United Kingdom (19) and more than half of European paediatric dentistry postgraduates will consider using this technique in managing child patients (20). There had been concerns that Hall SSCs props open the bite after placement by 1 mm on average, but there is clinical evidence that the bite resolves itself with dento-alveolar compensation taking place. The bite returns to normal levels within a week (21, 22, 23). A recent abstract submission to the International Association of Dental Research highlighted that mild intrusion of the crowned tooth takes place (22), and this contributed to the self correction of the high bite. This was based on a study that looked at recording the bite, pre/immediate post op/ & six weeks following SSC placement in 10 patients. The measurements were carried out using photos, clinical measurements, models and laser 3D scanning. The bite had returned to normal levels after 2 weeks (22).
Indications for the Hall technique
SSCs placed using the Hall technique are not suitable for all child patients with caries. There are selection criteria (21) that should be assessed before considering this technique. These are summarized in Table 1. The dentist should consider the Hall technique as one of the available clinical methods for treating the carious primary molar but not as a replacement for conventional methods.
Conclusion
Dental caries is an epidemic disease of childhood. While prevention is of essence, in a society where dental caries is rampant, its treatment can be challenging especially in young children. The Hall technique for restoring the carious primary molar is a newly developed technique that is based on an old concept: deprive caries from sugar substrate and it will arrest. The carious lesion needs to be detected early enough before it causes pulpal symptoms, emphasizing on the importance of early diagnosis using clinical examinations coupled with bitewings radiographs. This will enable the lesion to be caught at a very early stage, for it to be sealed in using a SSC utilizing the Hall technique. The crown could be fitted with minimal inconvenience to the child patient in a child friendly way. This will negate the need for LA injection, rubber dam, drilling the caries out. The reader is asked to compare Figure 3(c & d) to Figures 10 (a & b); one patient had multiple injections while the other did not have any for the SSC placements). The bite may be opened slightly following placement of a Hall SSC, but it corrects itself rapidly in children due to dento-alveolar compensation.
While the conventional restorative approach is part and parcel of the skills of a specialist in paediatric dentistry, the Hall technique must become part of the armamentarium in the fight against dental decay; a “tool” in the dentists “toolbox”. One of the Hall techniques unique features is that it can be used in general dental practice by GDPs, where most the children are treated. The Hall technique’s manual showing the technique step by step is available online to be downloaded for free for those dentists who would like to use it in their practice (24).
Acknowledgement: The author would like to thank the patients and carers who consented to the use of the photos shown in this article.
References
1) World Health Organization http://www.who.int/oral_health/action/information/surveillance/en/
2) El-Nadeef MAI, Hassab H and Al-Hosani E. National survey of the oral health of 5-year-old children in the United Arab Emirates. East Med H J (2010), Vol. 16 , No. 1; 51-55
3) Wendt LK, Hallonsten AL and Koch G. Oral health in pre-school children living in Sweden. Part III--A longitudinal study. Risk analyses based on caries prevalence at 3 years of age and immigrant status. Swedish Dental Journal (1999), 23(1):17-25
4) Hugoson A, Koch G, Helkimo AN and Lundin SÅ. Caries prevalence and distribution in individuals aged 3–20 years in Jonkoping, Sweden, over a 30-year period (1973–2003). International Journal of Paediatric Dentistry, vol. 18, no. 1, pp. 18–26, 2008.
5) Oral health survey of three-year-old children 2013. A report on the prevalence and severity of dental decay. Public Health England. Available online @ http://www.nwph.net/dentalhealth/reports/DPHEP%20for%20England%20OH%20Survey%203yr%202013%20Report.pdf
6) Rodd, HD, Waterhouse PJ, Fuks AB, Fayle SA, Moffat MA. UK National Clinical Guidelines in Paediatric Dentistry: Pulp therapy for primary molars. International Journal of Paediatric Dentistry 16 (Suppl. 1): 15–23. 2006
7) Kindelan SA, Day, P, Nichol P, Willmott N, Fayle SA. National Clinical Guidelines in Paediatric Dentistry: Stainless steel preformed crowns for primary molars. International Journal of Paediatric Dentistry 2008; 18 (Suppl. 1) : 20–28s
8) Innes NP, Evans DJP and Stirrups DR. The Hall Technique; a randomized controlled clinical trial of a novel method of managing carious primary molars in general dental practice: acceptability of the technique and outcomes at 23 months. BMC Oral Health 2007, 7:18. Available online @ http://www.biomedcentral.com/1472-6831/7/18
9) Innes NP, Evans DJP and Stirrups DR. Sealing Caries in Primary Molars: Randomized Control Trial, 5-year Results. J Dent Res 90(12):1405-1410, 2011
10) Kidd, E. Should Deciduous Teeth be Restored? Reflections of a Cariologist. Dent Update 2012; 39: 159–166.
11) Evans, DJP, Southwick, CAP, Foley, JI, Innes, NP, Pavitt, SH, and Hall, N. The Hall technique: a pilot trial of a novel use of preformed metal crowns for managing carious primary teeth. Tuith Online, December 2000. Available online @ http://www.dundee.ac.uk/tuith/Articles/rt03.htm
12) Roberts, RF and Attari N. The wide gulf. Letter to the BDJ, June 2006
13) Santamaria RM, Innes NPT, Machiulskiene V, Evans DJP and Splieth CH. Caries Management Strategies for Primary Molars: 1-Yr Randomized Control Trial Results.(accepted for publication in Journal of Dental Research 2014)
14) Santamaria RM, Innes NPT, Machiulskiene V, Evans DJP and Splieth CH Acceptability of different caries management methods for primary molars in a RCT. (Accepted for publication in the International Journal Paediatric Dentistry in 2014)
15) The Magazine of the American Academy of Pediatric Dentistry Online. http://www.pediatricdentistrytoday.org/2013/September/XLIX/5/news/article/269/
16) Hashim Nainar SM. Success of Hall Crown Questioned. Pediatr Dent 2012;34:103
17) Yalgnkaya Erdemci Z, Burgak Cehreli S, and Ebru Tirali R. Hall Versus Conventional Stainless Steel Crown Techniques: In Vitro Investigation of Marginal Fit and Microleakage Using Three Different Luting Agents. Pediatr Dent 2014;36:286-90
18) Ludwig KH, Fontana M, Vinson LA, Platt JP, Dean JD. The success of stainless steel crowns placed with the Hall technique: A retrospective study. JADA 2014; 145(12):1248-1253.
19) Innes, NP and Evans, DJP. Modern approaches to caries management of the primary dentition. British Dental Journal 2013; 214: 559-566
20) Foley, J. Short communication: A pan-European comparison of the management of carious primary molar teeth by postgraduates in paediatric dentistry. Eur Arch Paed Dent. 13 (Issue 1). 2012.
21) Innes NP, Evans DJP, Hall N. The Hall Technique for Managing Carious Primary Molars. Dent Update 2009; 36: 472–478.
22) So D, Evans, D, Borrie F, Roughley M, Lamont T, Keightley A, Gardner A, Hussein I, De Souza N, Blain K, Innes NP. Measurement Of Occlusal Equilibration Following Hall Crown Placement; Pilot Study. Abstract submitted to the International Association of Dental Research in November 2014.
23) Curzon, M. Primary tooth metal Crowns. European Archives of Paediatric Dentistry 11 (Issue 5). 2010
24) Evans, D & Innes N. The Hall Technique. A minimum intervention, child centred approach in managing the carious primary molar. A user manual. Free downloadable online manual. Available online @ http://dentistry.dundee.ac.uk/sites/dentistry.dundee.ac.uk/files/3M_93C%20HallTechGuide2191110.pdf
Managing the carious primary molar in children using the “Hall Technique” is a controversial but acceptable novel method. Restoring all eight carious ...
The COMBI touch combines ultrasound and air-polishing in one unit to provide a complete prophylaxis treatment from removal of supra-gingival and subgingival...
A 35-year-old female patient expressed a desire to optimize existing composite restorations on her maxillary central incisors, which had been placed 15 ...
Since the recent launch of the Emirates Dental Hygienists’ Club in the UAE, it could not be a more appropriate time to discuss the growing role of the...
Implant prosthetics and dental prosthetics differ considerably, with the absence of periodontal ligament in the implant/prosthesis complex. This situation ...
Based on our long-term bonding expertise, we developed GLUMA Bond Universal – a universal bonding answering to all your bonding needs. It is a reliable ...
To make the wait for ROOTS SUMMIT 2024 a little sweeter, the organisers would like to spotlight some of the speakers for next year’s edition, which will ...
As CEO of 3DVision, a provider of premium digital dentistry solutions and education, Dr Rami Gamil has become a driving force in advancing digital workflows...
RIYADH, Saudi Arabia: Koelnmesse and dmg events have announced the launch of the annual International Dentistry Exhibition and Meeting in Saudi Arabia (IDEM...
Root canal anatomy with all of its inherent complexity still represents a very serious challenge to modern root canal therapy. Even with many breakthroughs ...
RIYADH, Saudi Arabia: While many artificial intelligence (AI) systems for dental diagnosis demonstrate high accuracy, their real clinical value depends on ...
To post a reply please login or register