Single-tooth restorations with Tetric CAD
Composite blocks for CAD/CAM applications are on the rise, particularly for producing small restorations, such as inlays, onlays and occlusal veneers. And quite rightly so, for this type of material has a lot to offer: it exhibits sound mechanical properties combined with an extraordinary grinding accuracy and it is easy and efficient to process in day-to-day procedures.
The following clinical report describes the workflow to create an esthetic single-tooth restoration using the new Tetric CAD® composite block. The blocks are available in two degrees of translucency – HT and MT – and in a variety of shades. They exhibit a pronounced chameleon effect to provide restorations that blend in well with the optical characteristics of the surrounding residual tooth structure. The material can be polished to a high gloss in a few seconds both intraorally and extraorally. In addition, it can be easily repaired intraorally with conventional composite resins.
Clinical case
The pre-op showed a defective amalgam filling on tooth 36 in the lower posterior region. The filling needed replacing (Fig. 1). The indication for a multi-surface inlay was given.
It was the patient’s wish to have an esthetic, i. e. tooth-coloured restoration. We decided to opt for the Tetric CAD composite blocks. This material is part of the portfolio of Ivoclar Vivadent blocks and is suitable for permanent single-tooth restorations. It is supplied in industrially processed, pre-cured blocks that exhibit superior strength and a higher filler content than direct restoratives. Because they have undergone an industrial polymerization process, shrinkage stress is not an issue with Tetric CAD.
Fig. 1: Preoperative situation: defective amalgam filling on tooth 36
Fig. 3: Designing the inlay in the CAD module
Fig. 4: Checking the fit and shade match of the inlay\ after the grinding process
Fig. 5: Extraoral polishing with OptraPol
Fig. 6: Restoration after high-gloss polishing
Fig. 7: Air-blasting the bonding surface wit 50 – 100 μm aluminium oxide at 1 – 1.5 bar; followed by cleaning
Fig. 8: Scrubbing Adhese Universal into the bonding surface for 20 s followed by drying with air
Fig. 9: Conditioning the prepared tooth with Adhese Universal for 20 s, followed by drying with air
Fig. 10: Light-curing for 10 s using Bluephase Style
Fig. 11: Applying Variolink Esthetic luting composite to the bonding surface
Fig. 12: Inserting and positioning the inlay on the tooth; followed by the removal of excess material
Fig. 13: Applying Liquid Strip to prevent the formation of an inhibition layer
Fig.14: Light-curing all segments for 10 s per mm of composite using a Bluephase Style
Fig. 15: Occlusal check followed by intraoral polishing with OptraPol
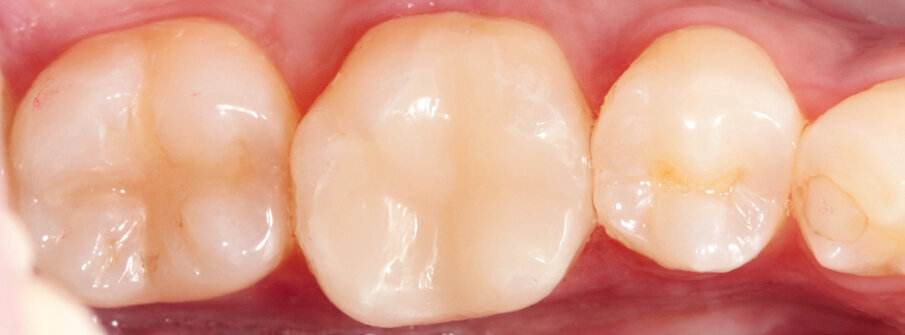
Fig. 16: Inlay in situ: great optical integration thanks to chameleon effect
Designing the restoration
Shade selection is performed on the natural dentition, primarily on the neighbouring teeth. We decided to use shade HT A2. The HT blocks are a good choice, particularly when it comes to producing fairly small restorations such as inlays as they provide a pronounced chameleon effect. Once the old amalgam was removed, the tooth was prepared in line with the recommended preparation guidelines (Fig. 2). Then, an optical impression was taken using an intraoral scanner and the inlay was designed in the CAD module (Fig. 3). Subsequently, the restoration was ground from the block.
Grinding times are considerably shorter for CAD/CAM composite resins compared with other materials. Although the composite is softer to grind, the restoration is not affected by this. It only means that the grinding tools are less quickly worn and offer a long service life, maximizing the cost efficiency of the practice.
Composites are “flexible” materials. Their modulus of elasticity is similar to that of dentin. High flexural strength provides adequate resistance and stability. Given their low brittleness, composites can be ground to exhibit highly homogeneous surfaces and to obtain accurate, thinly tapered margins withou loss of strength. Marginal chipping or crack formation are unlikely to occur.
In the present case, a try-in was performed immediately after the grinding process to check the fit of the inlay with the natural residual tooth structure (Fig. 4).
Conditioning the restoration
The attachment point was easy to smooth out with fine-grit diamonds. This was followed by extraoral polishing using composite polishers (e. g. OptraPol®) (Fig. 5). Particularly noteworthy was the speed with which the restoration was polished to a high gloss. It only took a few seconds to achieve a glossy surface (Fig. 6). Composites do not require an additional glaze firing cycle. This has a positive effect on the time resources of the practice.
It is essential to condition and pre-treat the bonding surface correctly. This requires the use of an adhesive system that is appropriate for this type of material to ensure the longevity of the restoration. The manufacturer’s instructions should be followed at all times.
In the present case, the bonding surface of the inlay was air-blasted with aluminium oxide (50–100 μm) at a pressure of 1–1.5 bar, followed by thorough rinsing (Fig. 7). The restoration can be cleaned either in an ultrasonic unit or with a steam cleaner. It is recommended to additionally clean the restoration with 70 % ethanol to disinfect it. Pre-treating the restoration in this way is mandatory for Tetric CAD because air-blasting increases the surface area and creates a retentive pattern that acts as a basis for the adhesive cementation. Pre-treating therefore ensures a reliable bond between the luting material and the restoration.
To condition the restoration, Adhese® Universal adhesive was applied and scrubbed into the pre-treated bonding surface for 20 seconds using a microbrush (Adhese Universal is also available in the VivaPen® delivery system for direct applications). It is important to observe the recommended agitation time to ensure that the adhesive can penetrate sufficiently (Fig. 8). Excess material is carefully dispersed using compressed oil-free air until a glossy immobile film results. Pooling must be avoided.
It is not necessary to light-cure the adhesive at this point: the adhesive will be cured together with the luting composite when the inlay is placed on the tooth.
Pre-treating the prepared tooth
Adequate isolation of the operating field is required for reliable bonding. The tooth preparation was cleaned and then conditioned, rinsed and dried using a conventional etch & rinse procedure. Adhese Universal adhesive was scrubbed into the tooth structure for 20 seconds and then dispersed (Fig.9). The adhesive was then light cured for 10 seconds using the Bluephase Style curing light (Fig. 10). According to the manufacturer’s recommendation, a curing light emitting a light intensity of least 500 mW/cm2 should be used for this step.
Placing the restoration
The inlay was seated using Variolink® Esthetic luting composite. The luting composite was applied directly from the syringe onto the bonding surface and then the inlay was seated and retained in position applying light pressure (Fig.11). Variolink Esthetic is particularly well suited for this step because excess material can be removed from the cement line with ease and it does not cause a “buffering effect” as is often the case with harder luting composites (Fig. 12). Tack-curing from all sides for 2 seconds facilitates the clean-up process. The cement line should be covered with air block gel (e. g. Liquid Strip) to prevent the formation of an oxygen inhibition layer (Fig. 13).
At this stage, the adhesive and the luting composite applied to the bonding surface are polymerized by the light passing through the restoration. In the process, a reliable adhesive bond forms. Upon completion of the light-curing step, Liquid Strip can be rinsed off (Fig. 14).
Finishing and outcome
An occlusal check was carried out and any interferences were removed using fine diamonds. In the present case, final intraoral polishing was performed with the OptraPol polishers (Fig. 15). This procedure resulted in a highly esthetic single-tooth restoration. Because of the chameleon effect, the inlay blends seamlessly into the surrounding natural tooth structure (Fig. 16).
Conclusion
Highly esthetic permanent single-tooth restorations can be achieved with the composite blocks of the Tetric CAD range in really short times. The guidelines for the adhesive technique need to be observed and a coordinated luting system must be used.
Easy and rapid processing and polishing procedures and the possibility for effecting intraoral repairs, similar to conventional filling composites, enable a highly efficient treatment workflow and increase the efficiency of day-to-day procedures in the dental practice.
Tetric CAD enhances Ivoclar Vivadent’s block portfolio
Highly esthetic and high-strength monolithic IPS e.max CAD restorations
Only a few months before changing to the Supervisory Board, Ivoclar Vivadent's CEO Robert Ganley was acknowledged by the American College of Prosthodontists...
Cementation of all-ceramic restorations using Variolink Esthetic
Cementation of all-ceramic restorations using Variolink Esthetic.
A retrospective of Ivoclar Vivadent’s successful history. An Interview with Robert Ganley, Ivoclar Vivadent’s CEO 2003 – 2019.
Exact reproduction of provisionals with IPS e.max Press Multi
Dental technicians routinely produce monolithic crowns and partially veneered mandibular posterior bridges. As a result, they get very excited when ...
Removable prosthetics as high-quality restorative treatment in the edentulous patient
Stylish, reliable and clever: that’s Bluephase G4 – the first Bluephase curing light featuring an automated assistance system. For even better results.
Live webinar
Thu. 14 May 2026
8:00 pm UAE (Dubai)
Live webinar
Thu. 14 May 2026
10:00 pm UAE (Dubai)
Prof. Hani Ounsi DDS PhD FICD
Live webinar
Tue. 19 May 2026
7:00 pm UAE (Dubai)
Live webinar
Tue. 19 May 2026
9:00 pm UAE (Dubai)
Prof. Dr. med. dent. Ivo Krejci
Live webinar
Wed. 20 May 2026
3:00 pm UAE (Dubai)
Dr. Graham Carmichael BDSc (Hons), DClinDent (Pros), FRACDS, Dr. Robert Gottlander DDS
Live webinar
Wed. 20 May 2026
5:00 pm UAE (Dubai)
Live webinar
Wed. 20 May 2026
9:00 pm UAE (Dubai)
Prof. Dr. med. dent. Tim Joda PhD, MSc, eMBA
To post a reply please login or register