Search Dental Tribune

Dental News

Filter

Get started in bone surgery with Piezosurgery white

When Mectron introduced PIEZOSURGERY in 2001, the technology was revolutionary for bone surgery: a device providing precision, safety, perfect ergonomics ...

save

Create Beautiful Restorations with Akro‑Flex™

Akro‑Flex™ is an extremely flexible composite instrument which allows clinicians to effortlessly manipulate composite materials during aesthetic ...

save

2019 GNYDM highlights latest dental products and technologies

NEW YORK, U.S.: Held from Nov. 29 to Dec. 4 at the Jacob K. Javits Convention Center, the 2019 Greater New York Dental Meeting (GNYDM) demonstrated once ...

save

HD BLACK LINE MIRRORS - Proven to Reduce Glare up to 80%*

Having a clear and precise diagnosis is needed in order to correctly plan the necessary treatment and sight is the first sense that every clinician uses, ...

save

Smile rejuvenation with Biosmart restoratives

Dentists today are spoilt for choice with a variety of direct and indirect treatment options for aesthetic restorations in the anterior zone.

save

Perform at your best in diagnostic and restorative

Reduce glare and create beautiful restorations

save
advertisement

New SmartLite Pro – more than just a curing light

Primarily, a curing light is a device to polymerize restorative materials. But it can be so much more, as shown by the new SmartLite Pro from Dentsply ...

save

Radical oral intervention not necessary before stem cell transplants, study says

BASEL, Switzerland/HELSINKI, Finland: Haematopoietic stem cell transplantation is used to treat cancers and severe blood and autoimmune diseases. Owing to ...

save

Mastering black holes with premium endo-brands

COLTENE is a global leader in the development, manufacture and sale of consumables and small equipment for endodontic treatment applications.

save

Incredible thrill at the graduation ceremony of the Laser Mastership CAPP cohort 2019 in Germany

AACHEN, GERMANY: On 16-19 December 2019, dental professionals who were part of the Laser Mastership Programme CAPP UAE cohort of 2019, successfully ...

save

Midline diastema closure using the front wing technique

A 35-year-old female patient expressed a desire to optimize existing composite restorations on her maxillary central incisors, which had been placed 15 ...

save

Beverly Hills Formula set to dazzle this 2020

For Irish oral care brand, Beverly Hills Formula 2019 can be seen as their most successful year yet and the past twelve months will certainly prove ...

save
advertisement

The 100k foot VALO curing light drop test: behind the scenes

The True Story of One VALO Curing Light's Journey to Space

save

Transforming treatment for the better with digital dentistry

Capabilities in dentistry have evolved at an astonishing rate over the past several years, and the transformations are by no means slowing down.

save

Dental study of ancient chewing gum informs about oral microbiomes of the past

COPENHAGEN, Denmark: Though its popularity and constituent ingredients have changed over time, chewing gum has been used by humans for thousands of years. A...

save

Clinical education is key to us - providing dental professionals with essential knowledge

DUBAI, UAE: Dental Tribune MEA had the pleasure to interview Don Casey, CEO of Dentsply Sirona and Walter Petersohn, CCO of Dentsply Sirona during their ...

save
advertisement

Moderate to severe Class II malocclusion using Invisalign® treatment with mandibular advancement

Minimizing the use of elastics in Class II treatments not only addresses a patient compliance concern, it also addresses a treatment efficiency concern. The...

save

Innovation, digital solutions and versatility—the Astra Tech Implant System evolution continues…

Dentsply Sirona Implants continues to deliver innovation, digital solutions and versatility in implant dentistry. With the latest product developments, the ...

save

Dentsply Sirona World 2019 – Las Vegas (Part 2)

Interview with Julie Mroziak, Vice President of Dentsply Sirona

save

New Propex IQ® apex locator from Dentsply Sirona: Cutting-edge technology for root canal treatments

With Propex IQ®, Dentsply Sirona is now launching the first apex locator on the market that can be combined with a smart handpiece – the X-Smart IQ® –...

save
advertisement

Dentsply Sirona launches the TruNatomy™ solution, redefining root canal treatment

Combining Swiss precision and advanced engineering, the TruNatomy™ range offers clinicians a solution that provides efficient performance and increased ...

save

“I look back with pride and gratitude”

A retrospective of Ivoclar Vivadent’s successful history. An Interview with Robert Ganley, Ivoclar Vivadent’s CEO 2003 – 2019.

save
advertisement

200 days, 100 countries: Primescan users experience digital impressions in a completely new way

It is standard practice to review feedback after a product has first been launched: Primescan, Dentsply Sirona’s new intraoral scanner, was introduced ...

save

Dentsply Sirona presents the new generation 5 of CAD/CAM software with OraCheck

The possibilities offered by Primescan, Omnicam and CEREC are noticeably increasing with the new generation 5 software updates: Dentsply Sirona announced ...

save

"... the beginning of leading network of dental clinics in the UAE..."

Interview with Mr Álvaro Martínez-Arroyo López, Asisa Internacional Salud General Manager and Director of True Smile Works Dental Network LLC

save

Dentsply Sirona World 2019 – Las Vegas (Part 1)

Interview with Don Casey, CEO of Dentsply Sirona

save
advertisement

Preoperative digital planning

RAW workflow: A professional’s approach to planning monolithic restorations on single-tooth implants

save

Visit Dubai for CAPP Dental Conf Expo 2020 - 12-14 November 2020

DUBAI, UAE: Over 40 speakers, 30 hands-on courses, 21 CME credits, 13 scientific programmes, 3 days and over 100 companies to feature at the CAPP Dental ...

save

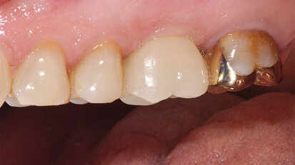
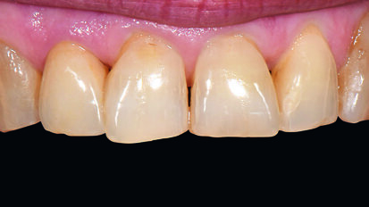
Solving aesthetic issues in the anterior region with composite – Clinical Case

A 50-year-old male patient presented for professional tooth cleaning. He had deep erosive lesions affecting the vestibular aspects of his maxillary central ...

save

From the Maldives to Malawi and Nigeria – Dentsply Sirona’s worldwide mission for dental care

By supplying innovative equipment, Dentsply Sirona International Special Clinic Solutions (ISCS) empowers dental professional to provide better dental care...

save
advertisement
advertisement