Search Dental Tribune

Dental News

Filter

Tooth Whitening That Works for You — Opalescence Tooth Whitening

As the global leader in tooth whitening, the Opalescence™ whitening family has become beloved and trusted by patients and clinicians alike. With ...

save

IES 2020: Watch lectures on demand

SCHAAN, Liechtenstein: Under the theme “Succeeding together in tomorrow’s dentistry”, the Ivoclar Vivadent International Expert Symposium (IES) was ...

save

Universal Excellence

First universal zirconia without esthetic limitations

save

Align Technology's 2020 growth summit to be hosted in all-virtual format

Align Technology, Inc. (NASDAQ: ALGN), today announced it has moved its 2020 Growth Summit to an all-digital format. The 2020 Growth Summit, originally ...

save

The copyCAD

Nature has always captivated us with its beauty. Whether it is a landscape, a sunset or the intricate details of a leaf, one marvels at natural aesthetics. ...

save

Good oral health may prevent severe COVID-19 progression

LEIPZIG, Germany: Given that little time has passed since the outbreak of SARS-CoV-2, it comes as no surprise that only sparse data on COVID-19 is available...

save
advertisement

Celtra Press — the most stable high-strength glass ceramic, regardless of testing method

Zirconia-reinforced lithium silicate (ZLS) has been available from Dentsply Sirona under the name of Celtra Press. With its three-point bending strength of ...

save

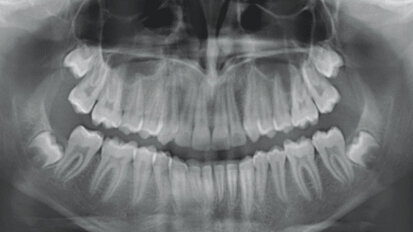
All-ceramic rehabilitation with CAD/CAM restorations made of a zirconia–reinforced lithium silicate

Patient: 55-year-old patient with an insufficiently restored dentition and a reduced vertical Dimension of occlusion.

save

Produits Dentaires SA presents Essenseal its innovative sealer for advanced root canal therapies

The EssenSeal® is a new generation zinc oxide eugenol sealer featuring tea tree essential oil (Melaleuca) and composed of a powder base and a liquid ...

save

Highly esthetic results with CEREC® Primemill

CEREC Primemill, Dentsply Sirona’s new milling machine, has taken chairside dental restorations to the next level. Thanks to its state-of-the- art ...

save

Align Technology expands digital platform with ClinCheck Pro 6.0 and In-Face Visualization

Align Technology, Inc. (NASDAQ: ALGN) today introduced the latest version of its proprietary ClinCheck treatment planning software. ClinCheck software ...

save

Digital endo assistance fully automated CanalPro Jeni Endo Motor navigates through treatment

Autonomous driving, operations using a robot arm, computer-aided design (or CAD for short) - there is hardly an area in which humans can now not be assisted...

save
advertisement

Incredible inside. Incredible outside. Ready for the future with the new Lara sterilizer

Be prepared for today and for tomorrow – with the new Lara sterilizer from W&H, users not only have state-of-the-art today, but additional high-tech for ...

save

First virtual Invisalign scientific symposium to showcase treatment of complex patients

Align Technology, Inc. (NASDAQ: ALGN) today announced that its annual Invisalign Scientific Symposium will be an online digital experience, held on May ...

save

Align Technology completes acquisition of exocad, a global dental CAD/CAM software leader

Align Technology, Inc. (Align) (Nasdaq: ALGN) today announced that it has completed the acquisition of privately-held exocad Global Holdings GmbH (exocad), ...

save

Success CD for perfect temporary crowns and bridges

Success CD is Promedica’s composite-based, self-curing paste system for quick and easy chairside production of temporary crowns, bridges, inlays and ...

save
advertisement

International Expert Symposium to be hosted as online event at end of May

SCHAAN, Liechtenstein: For the first time, Ivoclar Vivadent will hold its International Expert Symposium (IES) as an online event. It will take place from ...

save

World Hand Hygiene Day 2020

The essence of the whole action is the fact that such a simple act like washing and disinfection significantly contribute to improving the safety of patient...

save

CEREC software wins Red Dot Design Award for outstanding user experience

The redesigned user interface of the CEREC software from Dentsply Sirona won a coveted Red Dot Award for Brands and Communication Design in November. The ...

save

Hu-Friedy Black Line surgical collection: a growing passion for innovation

More than six years have passed since the initial launch of the innovative Hu-Friedy Black Line Surgical Collection. Its black coated instruments, designed ...

save
advertisement

Dr Galip Gurel confirms attendance as a keynote speaker on the CAPP Live Stream Meeting

CAPP (Centre for Advanced Professional Practices) will host Part 3 of its CAPP Live Stream Dental Meeting In Covid-19 Period on 07 May from 13:00 to 18:00 ...

save

Beverly Hills Formula set for excellence once more

Beverly Hills Formula are not afraid to think outside the box, and their success is attributed to the fact that they can bring their bold ideas to life, ...

save
advertisement

Align Technology launches iTero Element 2 intraoral scanner in the Middle East

The introduction of the iTero Element 2 scanner showcases Align’s commitment to advancing digital dentistry in the Middle East

save

The Masterpiece Guide: Top-Tier restorations with the Uveneer Extra template system

Michelangelo took four years to paint the Sistine Chapel and two years to complete the sculpture of David.

save

CAPP Live Stream Dental Meeting In Covid-19 Period Series

CAPP (Centre for Advanced Professional Practices) organises its events online and in a digitised format. This allows dental professionals around the world ...

save

Annual Convocation 2020 – International College of Dentists

The International College of Dentists, Middle East Section held its handover ceremony on February 4th, 2020 at the Novotel World Trade Center, Dubai, UAE. ...

save
advertisement

Eight ways to keep your dental practice safer during COVID-19 crisis

KRIENS, Switzerland: During the ongoing COVID-19 crisis, the dental profession forms one of the most threatened groups. Close contact with patients, ...

save

Invitation to CAPP Live Stream Dental Meeting in the COVID-19 Period

The coronavirus (COVID-19) pandemic is an unprecedented ongoing global health crisis, which has already led to loss of too many lives. Global businesses ...

save

IDEM 2020 to be a digital experience

In consideration of the circumstances brought about by the Covid-19 pandemic, the organisers of IDEM 2020 are moving the event for this edition to an online...

save

Zolid Gen-X – The new universal zirconium that changes everything

Today we are pleased to introduce the newest member of our Zolid DNA portfolio - Zolid Gen-X. The new universal zirconium is available now. Have we roused ...

save
advertisement