Search Dental Tribune

Dental News

Filter

The Relationship between Periodontitis and Atherosclerosis and Diabetes

Heart attack is the leading cause and diabetes is the sixth-leading cause of death in the United States.1 What goes relatively unnoticed, however, are their...

save

VIP visitors from Saudi Arabia at EMS headquarters in Switzerland

E.M.S. proudly welcomed a group of VIP visitors from well-known institutions in Saudi Arabia to its headquarters in Nyon, Switzerland.

save

Early Childhood Caries: A Continuing Epidemic Oral Health Problem in the United Arab Emirates

Caries or dental decay in children has been known to exist for many centuries [1]. Early Childhood Caries (ECC) is a chronic, transmissible infectious ...

save

Strategies to advance oral health in Africa

ADDIS ABABA, Ethiopia/MARRAKESH, Morocco: Oral health in Africa has just received a second boost with the August 2016 launch of the World Health ...

save

ROOTS SUMMIT: Academic discount now available

DUBAI, UAE: Preparations for the ROOTS SUMMIT, which will be held from 30 November to 3 December in Dubai, are already in full swing. The organisers have ...

save

Primary teeth of Iraqi children show toxic impact of war

BASRA, Iraq: A high prevalence of heavy metals in the environment has been proven to have adverse health effects, especially in sensitive populations such ...

save
advertisement

ROOTS SUMMIT webinar on laser-activated irrigation

DUBAI, UAE: It is widely accepted that the root canal morphology is highly complex and canal irregularities are challenging areas to clean and disinfect ...

save

New webinar on symbiosis between endodontic and restorative treatment

SOFIA, Bulgaria/DUBAI, UAE: The much-anticipated ROOTS SUMMIT is to be held in Dubai in only a few months’ time. With an unparalleled series of ...

save

Latin American temperament meets Swiss precision

The Swiss are said to be devoted to precision, reliability and meticulous attention to details. In contrast, the current summit meeting of Latin America's ...

save

SWISS DENTAL ACADEMY – for Professionals by Professionals

Given its continuing education and training concept, the SWISS DENTAL ACADEMY is one of the key pacesetters in dental prophylaxis training.

save

Free webinar on eCligner and its use

JEDDAH, Saudi Arabia: Dr Khaled Abouseada worked with five different types of aligner systems for about ten years before deciding on eCligner. Using 3-D ...

save

Most sugar-free chewing gums in Middle East lack clear labelling on xylitol

KUWAIT CITY, Kuwait: The majority of sugar-free chewing gums containing xylitol that are sold in the Cooperation Council for the Arab States of the Gulf ...

save
advertisement

DTI celebrates launch of Iran edition at EXCIDA

TEHRAN, Iran: Dental Tribune International (DTI) has recently welcomed a new licensee partner in Iran to its global publishing network through Hans-Joachim ...

save

Abu Dhabi: Almost half of oral health costs due to periodontitis and caries

ABU DHABI, UAE: The Health Authority—Abu Dhabi (HAAD), the regulatory agency of the health care sector in the Emirate of Abu Dhabi, has reported that ...

save

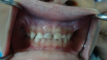
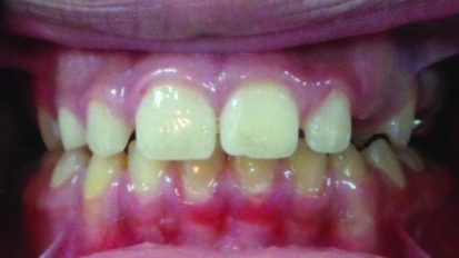
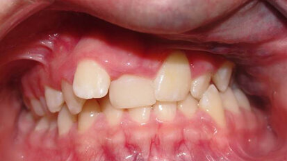
Avulsion in Paediatric Dentistry: Management of a Double Dental Emergency in a Child

General dental practitioners and paediatric dentists face real dental emergencies that effect children, especially dental trauma. Avulsion is considered, in...

save

Early bird registration for ROOTS SUMMIT ends soon

DUBAI, UAE: The early bird offer for ROOTS SUMMIT 2016, a leading international forum in endodontics, expires soon. Visitors need to register on the ROOTS ...

save
advertisement

Tribune CME announces partnership with Université Saint-Joseph

Tribune CME, the premier continuing medical education programme for dental professionals, is proud to announce yet another partnership with a leading ...

save

E.M.S. Dental presents GUIDED BIOFILM THERAPY during AEEDC in Dubai

The Swiss company E.M.S. Electro Medical Systems who is the innovator of Piezon® and AIR-FLOW® technologies and a global leader in dental prophylaxis as ...

save

Delegates meet to put global mercury agreement into force

AMMAN, Jordan: Over 550 representatives have gathered for the seventh session of the intergovernmental negotiating committee on mercury (INC 7) in Jordan to...

save

Mixing work with pleasure - the SWISS DENTAL EDUCATION WEEK makes it possible

MediAccess AG invites you and your family from July 10 to July 14, 2016 to Zurich, Switzerland’s international metropolis, to participate in a unique ...

save
advertisement

FKG Dentaire: Advocating for more conservative and successful endodontic treatment

DUBAI, UAE: Cutting edge endo instruments and continuous investments in Research and Development has resulted in booming FKG Dentaire sales globally. ...

save

Middle East’s Dentist Meet Recommends Power Brushes for Improved Oral Hygiene

First dental consensus agrees that electric power brushing is best for oral health; 80 per cent of children between 12-15 years have unhealthy gums, ...

save
advertisement

Interview: Improving oral health through scientific evidence

Evidence-based dentistry continues to gain acceptance in oral health care. This treatment approach combines the dentist’s expertise, scientific ...

save

AEEDC: Neoss unveils new device for measuring implant stability

DUBAI, UAE: UK-based global dental implant company Neoss is officially launching its business in the Middle Eastern region at AEEDC Dubai 2016. In addition,...

save

MEDENCY débuts at AEEDC

DUBAI, UAE: This year’s UAE International Dental Conference and Arab Dental Exhibition (AEEDC) has seen the launch of MEDENCY, a recently founded ...

save

Anniversary dental meeting starts in Dubai

DUBAI, UAE: This week, the Dubai World Trade Centre will welcome dental professionals from all over the globe to the 20th UAE International Dental ...

save
advertisement

The role of the hygienist in the twenty-first century

Since the recent launch of the Emirates Dental Hygienists’ Club in the UAE, it could not be a more appropriate time to discuss the growing role of the...

save

Vast majority of dental professionals have back problems

JEDDAH, Saudi Arabia: Work-related musculoskeletal disorders are a significant and increasing problem. It is generally estimated that 60–90 per cent ...

save

Beverly Hills Formula - Over 20 Years Perfecting the Business of Smiling

Manufactured in Ireland, the Beverly Hills Formula ranges are rapidly becoming the go-to whitening products, with many people opting to use these safe ...

save

ROOTS SUMMIT 2016: Premier global forum for endodontics takes place in Dubai

DUBAI, UAE: This year’s ROOTS SUMMIT, which has drawn dental professionals to various locations all over the world in the past decade, will take place...

save
advertisement